2025-12-20
下载APP
今日超声
知 汇
专 栏
专 家
器 械
器头条
经销商
商头条
资 料
药 物
考 试
搜索
登录
关于
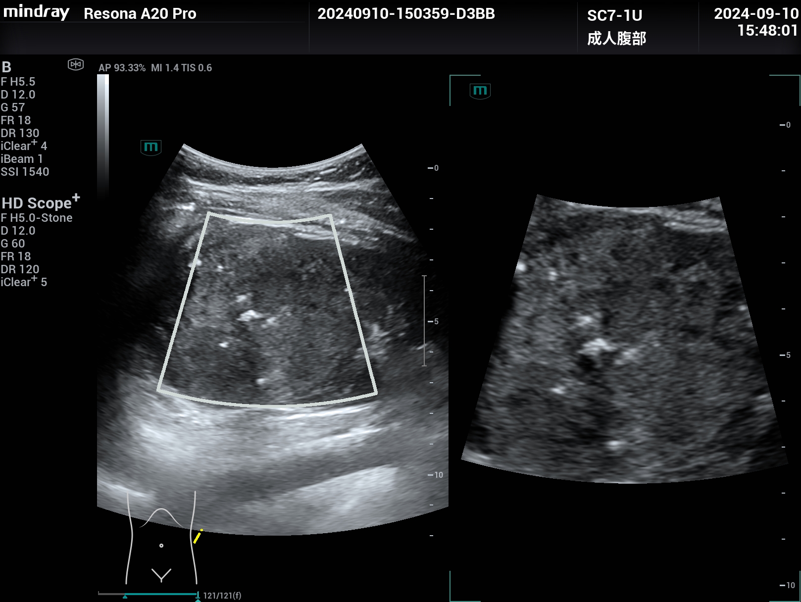
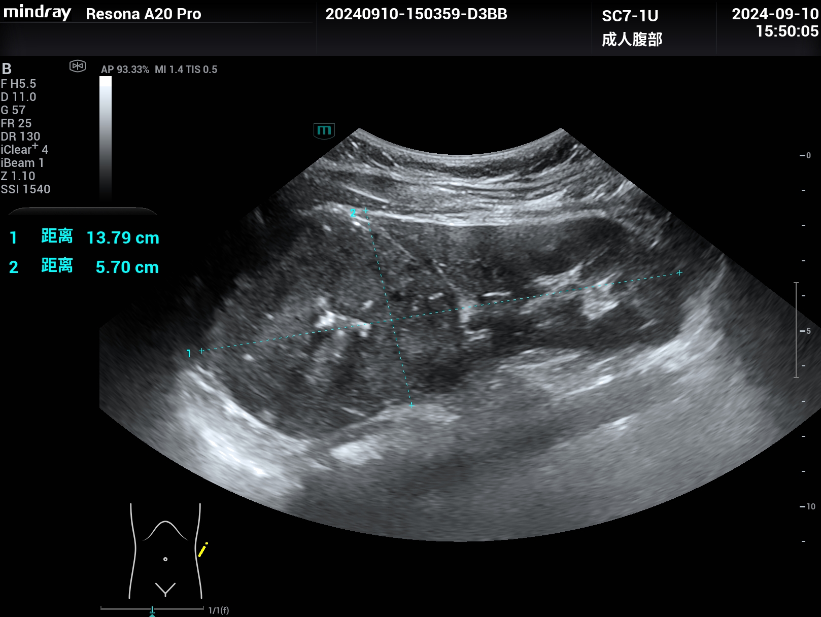
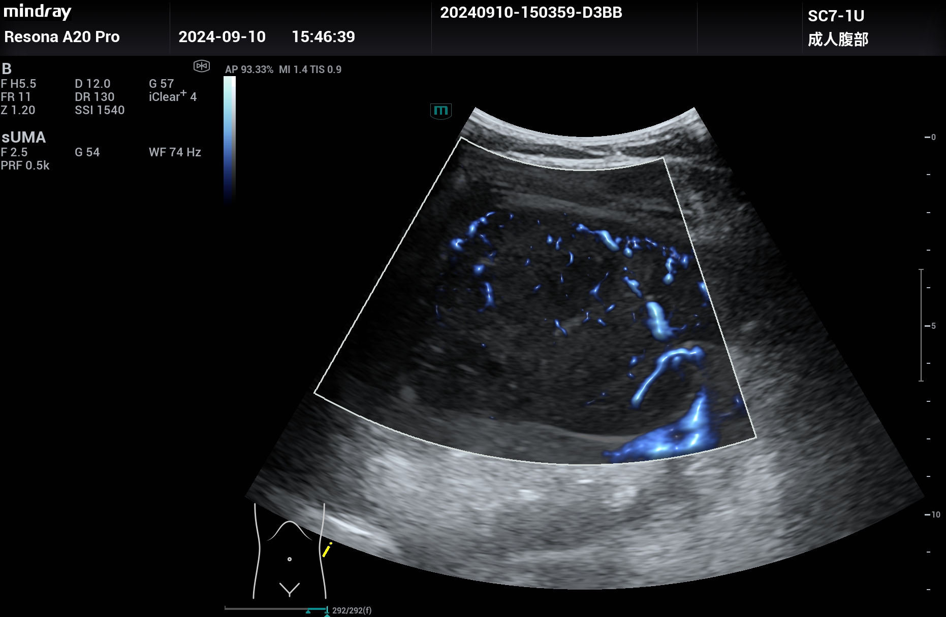
肾脏癌性大包块,扩展成像,腹部探头变成腔内探头的超宽视野,但分辨力依然清晰,超高端Resona A20
会顶医生
2024-09-13
来源:
转载
肾脏癌性大包块,腹部探头扩展成像,腹部探头成腔内探头的超宽视野,但分辨力依然清晰。
收藏
投诉
请登入后发表评论
登入
最新评论
暂无评论,快来抢沙发!
猜您喜欢
临床中,小结石超声如何诊断决策呢?看权威专家的精准解读,2022年规培会议答疑
肾脏小结石的超声诊断决策,全国医师规范化培训大会罗渝昆教授答疑,解放军总医院超声科主任
超声引导下经皮肾造瘘术
成人肾积水如何分度
输尿管下段结石,典型的花色血流,非常经典
作者最新文章
前列腺会阴穿刺步进器的图片,2025年12月
病例集,县城超声事业高质量发展,迈瑞高档彩超Resona A20、Recho R9在广西县城,2025年
病例,33M和超微血流,头皮下1.5mm的2.6mm×1.1mm的脂肪瘤清楚显示,迈瑞Resona A20,2025年11月
病例,乳腺恶性肿块,采用超微血流、睿瞳、弹性、造影和定量分析等ResonaA20技术,诊断更有肯定,2025年11月
实例,超声引导羊水穿刺,胎盘绒毛膜穿刺,广西区妇幼保健院优生遗传科,2025年4月
实例,超声可视化穿刺取卵细胞视频,弯把探头,柳州市妇幼保健院生殖科,迈瑞consona N8的V11-3HB,2025年11月
经会阴前列腺穿刺,病例实操(与MR融合导航,配准操作方法),柳州市人民医院,2023年
女娲Nuewa A20高级技术—“睿瞳技术”,把看不清的肝脏稍高回声看得清清楚楚,迈瑞超声,2025年11月
16.2025年临床女性生殖系统错题讲解01.mp4
广西2024版超声收费项目《广西医疗服务项目价格(2024年版)》