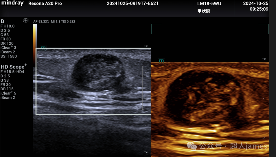
毛姆质瘤,又称钙化性上皮瘤,因此,其最大的特征就是在超声图像上往往表现为皮下以钙化为特征的包块。毛姆质瘤是来源于毛囊毛基质细胞的良性肿瘤,各年龄都可能发生,更常发生在儿童和青少年,单发多见,但也可以多发,常发生于头颈部。




超声表现多样,可以表现为实质片状钙化型、点状钙化灶型、无钙化型、完全钙化型等,边界清晰,后方衰减。利用UMA超微血流成像显示:实质区域可以探及血流信号,这一点是与皮脂腺囊肿、表皮样囊肿的重要鉴别点。
作者:伍建明,来源微信公众号“超人james”
毛姆质瘤,又称钙化性上皮瘤,因此,其最大的特征就是在超声图像上往往表现为皮下以钙化为特征的包块。毛姆质瘤是来源于毛囊毛基质细胞的良性肿瘤,各年龄都可能发生,更常发生在儿童和青少年,单发多见,但也可以多发,常发生于头颈部。




超声表现多样,可以表现为实质片状钙化型、点状钙化灶型、无钙化型、完全钙化型等,边界清晰,后方衰减。利用UMA超微血流成像显示:实质区域可以探及血流信号,这一点是与皮脂腺囊肿、表皮样囊肿的重要鉴别点。
作者:伍建明,来源微信公众号“超人james”
