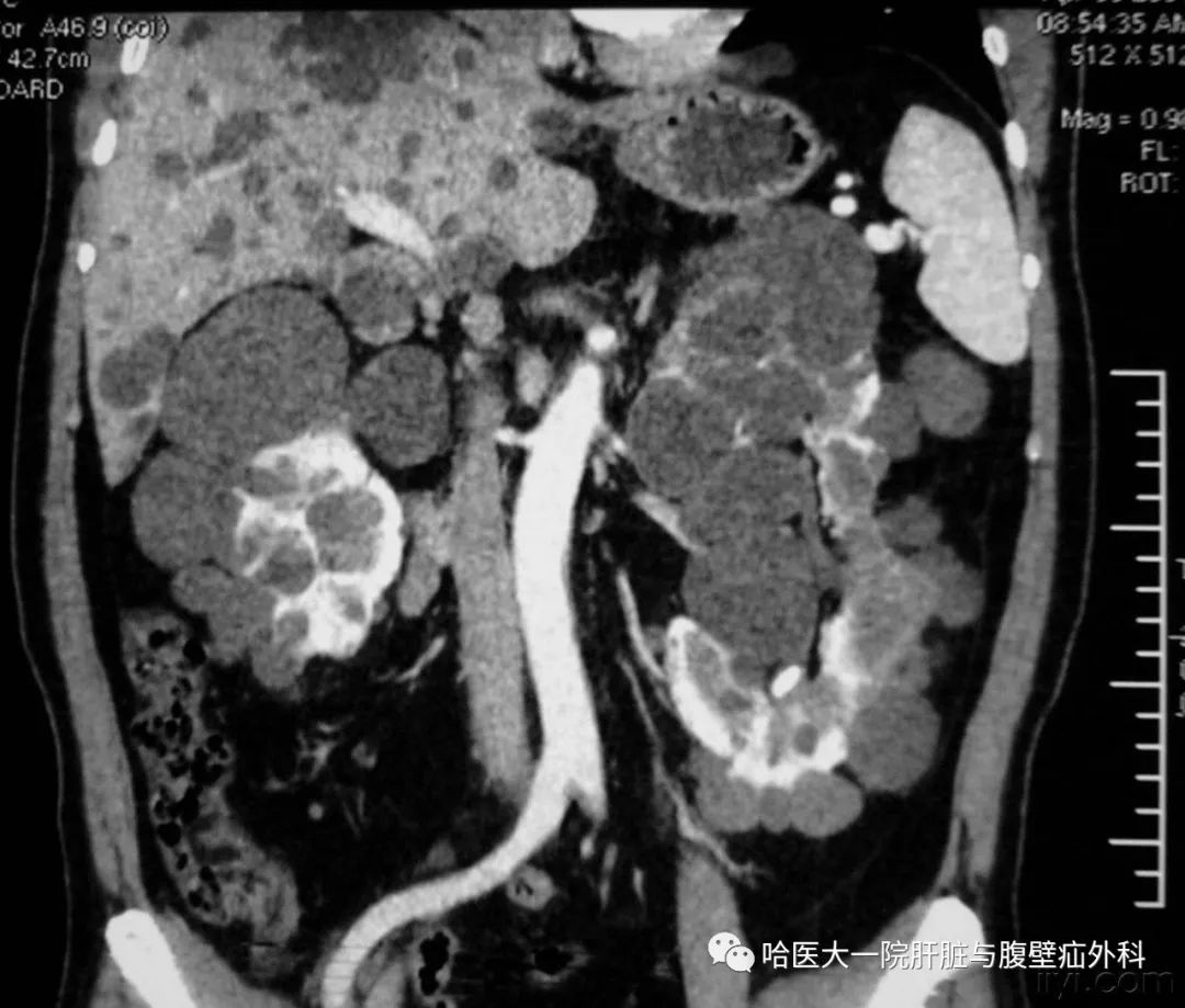
典型多囊肝
https://mp.weixin.qq.com/s/n_PsBg2IZVz45mYQI8E_Mg

多囊肝,是一种常染色体显性遗传病,表现为肝脏的多发性弥漫损害,囊肿间的肝细胞正常,多合并多囊肾,同时在胰腺、脾脏、双肺及女性卵巢可发现囊性病变。多囊肝合并多囊肾致病基因位于人第16对常染色体上,DNA分析可作为疾病无症状时和产前的早期诊断。
病因
多囊肝是一种常染色体显性遗传病,其囊肿来源于胆道的异常改变。在胚胎期间,小叶内胆管未能退化或未能与小叶外胆管相连接而导致囊肿形成和囊液积聚。
临床表现
1.此病发展缓慢,病程较长,早期一般无症状,故表现为肝大而无任何临床症状,也是此病的特征。
2.当囊肿增大到一定程度时影响肝脏功能,可出现腹胀、间歇性或持续性右上腹不适和隐痛、呼吸困难等。当囊肿占据整个肝脏时可出现肝功能不全甚至肝衰竭。压迫胃肠等毗邻器官时,可有饱胀、厌食、呕吐甚至营养不良。
3.囊肿破裂或内出血时可出现失血性休克和急腹症;带蒂囊肿可发生扭转,出现突发性上腹剧痛;并发囊内感染,则往往出现畏寒、发热、白细胞计数增多等;压迫胆管者可致梗阻性黄疸;肝门部的囊肿压迫门静脉或肝小静脉者,或肝内静脉血栓形成时,则出现门静脉高压。
4.肝大,肝表面可触及无明显触痛、散在的囊性结节,较大囊肿可在右上腹触及肿块,可随呼吸移动,表面光滑,有囊性感,无明显压痛,压迫门静脉或肝功能不全时可出现腹水和下肢凹陷性水肿。
检查
实验室检查
绒毛膜DNA分析可用于产前诊断。
影像学检查
(1)B超检查:是诊断多囊肝可靠而简易的方法。边界清楚的多发性无回声区是本病典型表现。可见肝大,肝内无回声病灶众多,相互连成片,由纤细光滑的囊壁分隔成大小不等的多房囊腔。
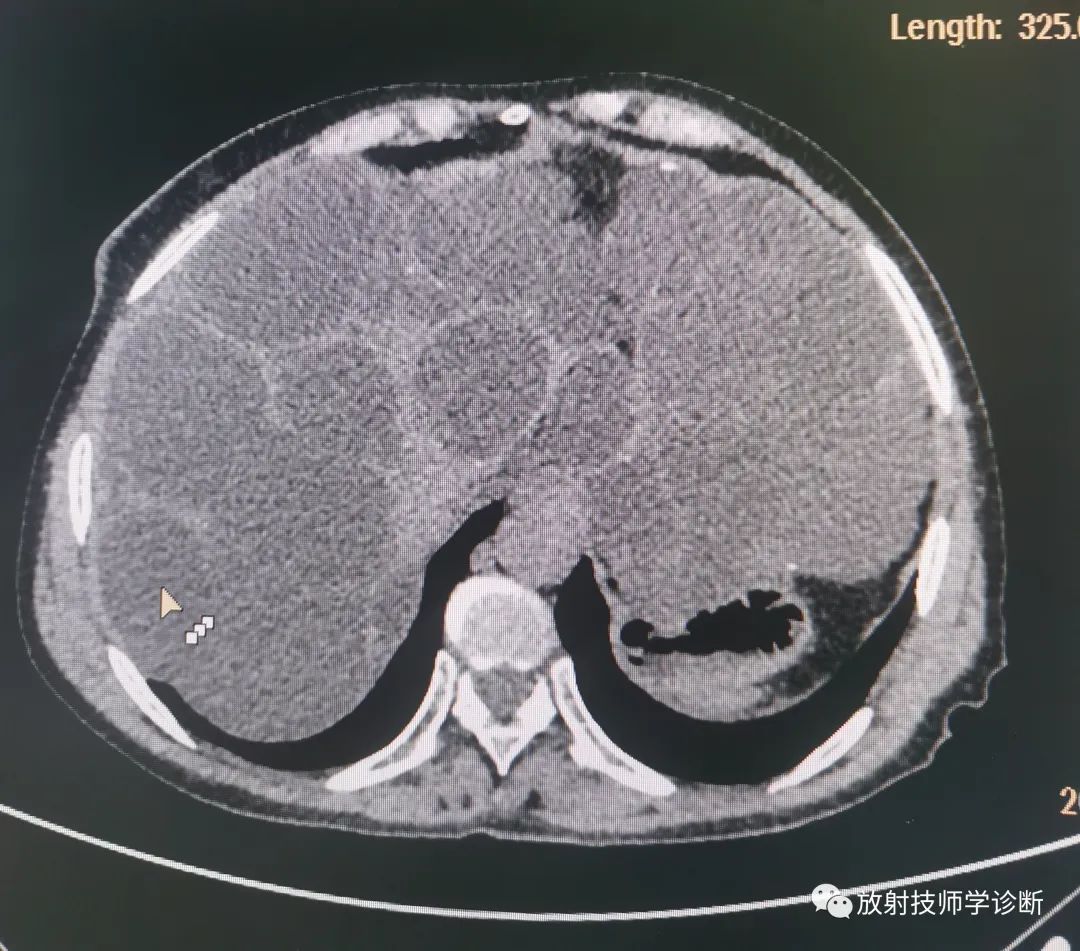
(2)CT检查:可明确囊肿的大小、数目、解剖位置,并可发现1~2cm肝囊肿。CT平扫表现为肝内弥漫大小不一的水样低密度影,边缘光滑清楚,CT增强后无强化。

(3)磁共振成像(MRI):可提高术前囊内出血和感染的确诊率。
(4)X线检查:可见肝影增大,膈肌抬高和胃肠受压异位等征象。
(5)放射性核素扫描:显示肝区占位性病变。
图片


