超声诊断:阔韧带妊娠 1 例
https://mp.weixin.qq.com/s/jtMwDrKXHPTHEuYFm6MqGQ
病例回顾
患者,女,33 岁,平素月经规律, 7/30 天,因阴道不规则出血两月余,腹部胀痛两天来我院妇科急诊就诊。
急诊妇科超声经腹检查
膀胱充盈可,子宫前位,稍大,肌层回声尚均,宫腔内未见明显孕囊结构,宫腔内可见低回声区,双卵巢显示不清,于左侧盆腔探及一类似妊娠囊结构,周边回声稍增强,其内可见一胎儿回声,头臀长约 71mm ,可见胎心、胎动(图 1~ 2 )。

图 1 左侧盆腔探及一类似孕囊结构,内见一头臀长约 70mm 的胎儿回声

图 2 胎儿可见胎心、胎动
另于盆、腹腔探及液性暗区,最深约 30mm ,透声欠佳(图 3 ~ 5 )。

图 3 盆腔探及液性暗区,最深约 30mm ,透声欠佳

图 4 于肝肾间隙探及少量液性暗区

图 5 于脾肾间隙探及少量液性暗区
超声提示
1. 异位妊娠可能 ,2. 宫腔内低回声区-考虑蜕膜组织可能,3. 盆、腹腔积液,建议进一步检查。
妇科后穹窿穿刺抽出不凝血约 2ml ,后急诊收治入院手术。
术中所见
左阔韧带后方胎儿及胎盘组织,子宫前壁,直肠后壁、左附件及左阔韧带有新旧血块覆盖,腹腔积血。
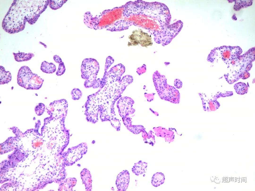
术后病理
左阔韧带送检组织中查见绒毛,符合异位妊娠(图 6 )。

图 6 术后病理提示送检组织见绒毛,符合异位妊娠
病例讨论
阔韧带妊娠
阔韧带妊娠又称腹膜外妊娠,是指妊娠囊在阔韧带两叶之间生长发育,是一种腹膜后的腹腔妊娠,胎儿或妊娠组织在阔韧带的叶上生长,发病率很低,属于异位妊娠的一种特殊类型。
本例患者声像图表现
左侧盆腔区域包块内可见胎儿及胎心胎动,孕囊周围可见较厚稍高回声包绕,可能是阔韧带周边网膜组织结构,左侧盆腔包块紧贴子宫后壁,其内胎儿位于子宫宫腔以外,但与子宫分界清晰,肝肾间隙、脾肾间隙、肠间隙、盆腔均可探及透声欠佳积液,提示存在有腹腔内出血。
据统计 95% 以上的异位妊娠发生于输卵管,于阔韧带妊娠者相当少见。
经验总结
在该病例诊断过程中,另有一些心得体会:
早 - 中孕期经腹超声检查应尽量在膀胱充盈的情况下,本病例中这样可以比较清楚、直观的观察孕囊着床的部位及与子宫的关系,子宫轮廓(宫体、宫颈)完全显示,盆腔包块位置较为固定,与宫颈、阴道无明显联系。
加之询问病史得知既往无双子宫畸形史,所以不考虑双子宫畸形伴一侧子宫宫内妊娠,而考虑子宫外异位妊娠。
本例患者如在膀胱不充盈时行超声检查,可能导致盆腔内组织结构毗邻关系显示不清,容易误诊和漏诊。
本例患者由于发现早,治疗及时,手术顺利,术后治疗措施得当,恢复较快,术后一周予出院,一个月后随访复查妇科超声无异常。
