腋窝腋动脉深方探及低回声结节,你会考虑什么?
https://mp.weixin.qq.com/s/PuVkTnRqhknIQ3UVXYhzTg
病例回顾
患者女, 28 岁,体检发现右乳及腋窝低回声结节 7 天入院。
超声所示
右乳可见一个低回声结节,大小约 7×4mm ,形态呈椭圆形,边缘光整,平行方位,内部回声分布尚均匀。
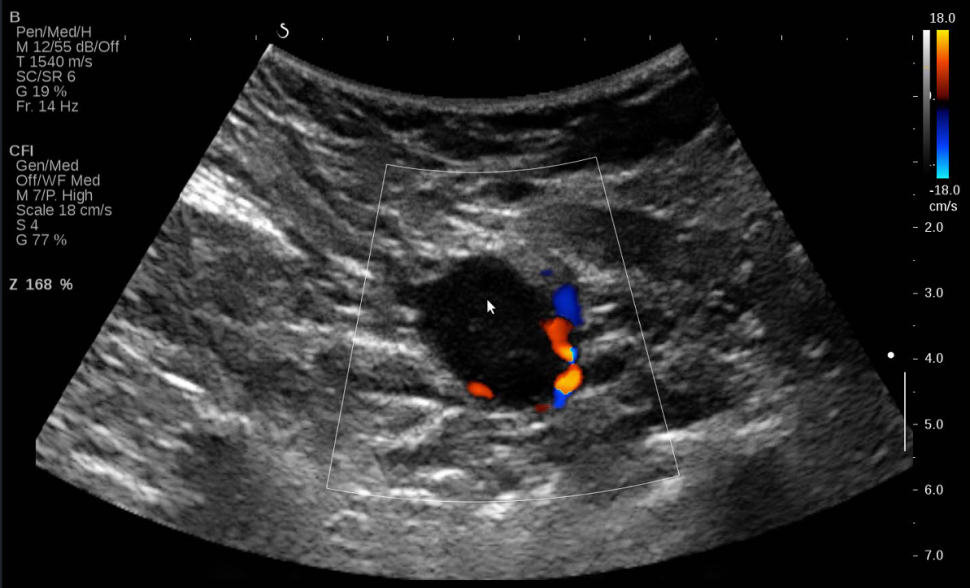
右侧腋窝腋动脉深方可见一个低回声结节,大小约 36×25mm ,呈椭圆形,边界清晰,形态规则,内部回声分布不均匀,未见明显淋巴门结构。
彩色多普勒
右乳低回声结节内未见明显血流信号。右侧腋窝低回声结节微血管成像内可见较丰富条状周围型血流信号,未见明显门性血流信号。
超声提示
右乳低回声结节, BI-RADS 3 类,建议定期随访,右侧腋窝低回声结节,神经鞘瘤可能,建议粗针穿刺活检(图 1-3 )。

图 1 腋窝低回声结节微血管成像图(线阵探头)

图 2 腋窝低回声结节血流图(凸阵探头)

图 3 右乳低回声结节弹性成像显示结节质地较软
为明确诊断,患者行右侧乳腺及腋窝结节切除术。
病理结果提示
(右乳肿块)乳腺纤维腺瘤,并灶性导管上皮轻度非典型增生。
(右侧腋窝结节)送检淋巴结见淋巴滤泡显著增生伴小血管增生,部分血管壁增厚伴透明变,部分滤泡血管增生伴透明变,符合淋巴结 Castleman 病(透明血管型)。
免疫组化
CD3(+),CD20(+),CD21(FDC网+),BCL-2(-)(图 3 )。

图 4 淋巴结 Castleman 病(透明血管型)
讨论
Castleman 病 (castleman’s disease, CD) 又称为巨大淋巴结增生、血管滤泡性淋巴结增生、良性巨淋巴瘤等,临床较为少见,由 Castleman 于 1956 年初次报道,是一种原因不明的以淋巴组织肿瘤样生长为特点的疾病[1]。
CD 病临床上多以无痛性淋巴结肿大为特点,其病因及发病机制尚不明确,可能与免疫功能障碍、 HPV-8 感染以及白细胞介素 -6(IL-6) 水平升高有关[2]。
CD 发病率男女均等,以中青年多见,发病部位好发于纵膈、颈部、腹部及盆腔等[3-4]。
临床上把 Castleman 病分为局灶型和多中心型,局灶型以青年人多见,可发生于胸、腹腔或浅表淋巴结,形成巨大肿块。
依淋巴结肿大发生部位不同症状而异,但大多不伴全身症状。多中心型发病年龄较晚,常呈多处淋巴结缓慢增大并形成巨大肿块。可伴全身症状,如长期发热、乏力、消瘦,以及肝脾肿大。
Castleman 病的超声表现[5]
1、 单发病灶、局限型多见,一般不具备淋巴结形态,大多内可见较丰富血流信号,可能与内部淋巴窦消失代之以增生的微小动脉及滋养血管有关;多中心型表现为具有淋巴结形态的全身浅表淋巴结肿大;
2、 病变绝大多数是实性低回声及内部回声不均质,边界清晰且有包膜;
3、 部分病灶内可有钙化灶和高回声分隔;
4、 大部分病灶内可见血流信号及大血管穿入;
5、 多中心型有时可伴有肝脾肿大。
对于腋窝腋动脉水平结节,位置较深,运用检查乳腺常规线阵探头容易扫查不到病灶,要结合凸阵探头增加穿透力,避免遗漏病灶。
对于腋窝 castleman 病,还需要与反应增生性淋巴结、神经鞘瘤、转移性淋巴结、淋巴瘤、淋巴结核等鉴别。
反应增生性淋巴结
形态呈椭圆形,皮髓质分界清晰, L/S 多大于 2 , CDFI: 多表现为门型血流信号。
淋巴瘤
多为无痛性肿大淋巴结,皮髓质分界不清,回声较弱接近无回声,一般没有钙化,且部分病灶可相互融合, L/S 多小于 2 ,淋巴结门部结构破坏或消失,血管分支达淋巴结的皮质区甚至包膜下。
CDFI: 多表现为周围型血流信号或混合型血流信号。
转移性淋巴结
有原发肿瘤史,常多发、融合而呈低弱回声,可出现细小的簇状钙化灶及液化坏死,皮髓质分界不清或髓质偏心, L/S 多小于 2 , CDFI: 内部血流分布杂乱,多呈周围型或混合型血流信号。
神经鞘瘤形态规则、边界清晰、可见包膜样回声、肿瘤多以实性低回声为主、后方回声多增强、可见鼠尾征等。

