Castleman病一例
https://mp.weixin.qq.com/s/7660XnSdXHVXTrupCxKJqg
患者,男,25岁,3月前发现右侧腋下肿块,无触痛,平素体健。右侧腋下触及一肿块,约鸡卵大小,质地中,表面光滑,活动度可,无皮肤红肿。辅助检查:血常规、血生化、尿常规、肝肾功能、血电解质、胸片、心电图等未见异常。
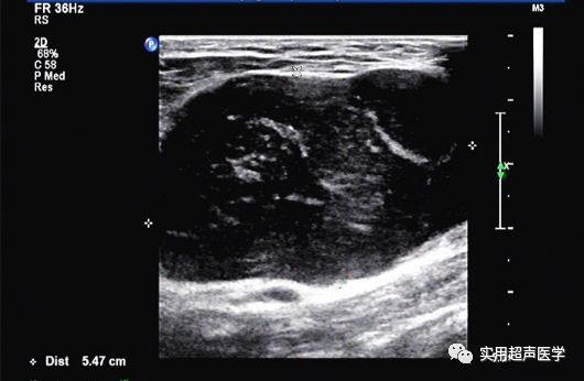
超声检查:右腋下肿块处扫查,皮下软组织内探及55×34mm低回声,边界清,浅分叶,内部回声欠均匀,内可见散在条状高回声分布,CDFI示其内较丰富的短线样血流信号,阻力指数(RI)0.37。超声提示:右腋下实性团块(性质待定,建议活检穿刺)。


患者在我院行“右腋下肿块切除术”,手术切除肿块一个,行病理活检与免疫组化,巨检描述:肿块大小7.0×3.8×3.5cm,包膜完整,切面为白色,质中,质地均匀。镜下所见:肿块内见多个增大的淋巴滤泡样结构,周围由多层排列的淋巴细胞所包围,形成特殊的洋葱皮样结构,并有数根透明变性的小血管穿入淋巴滤泡中心。免疫组化:淋巴滤泡 CD20+、CD79a+、Ki-67滤泡中心细胞+。滤泡间组织CD3+、CD45RO+。树突状细胞CD21+、 CD35-。血管内皮 CD34+。其他标记 Desmin-、AE1/3-。


病理诊断:(右腋下)结合免疫组化考虑Castleman病,玻璃样血管型。
Castleman病(Castleman’s disease,CD),又称血管滤泡型淋巴结增生、巨淋巴结增生、淋巴错构瘤或滤泡型淋巴网状内皮瘤,属原因未明的反应性淋巴结病之一。临床上分为局灶型及多中心型。
1、局灶型,青年人多见,发病的中位年龄为20岁。90%病理上为透明血管型。患者呈单个淋巴结无痛性肿大,生长缓慢,形成巨大肿块,直径自数厘米至20cm左右,可发生于任何部位的淋巴组织,但以纵隔淋巴结最为多见,其次为颈、腋及腹部淋巴结。偶见于结外组织,如喉、外阴、心包、颅内、皮下、肌肉、肺、眼眶等均有个例报道。大部分无全身症状,肿块切除后可长期存活,即呈良性病程。10%病理为浆细胞型,腹腔淋巴结受累多见,常伴全身症状,如长期低热或高热、乏力、消瘦、贫血等,手术切除后症状可全部消退,且不复发。
2、多中心型,较局灶型少见,发病年龄靠后,中位年龄为57岁。患者有多部位淋巴结肿大,易波及浅表淋巴结。伴全身症状(如发热)及肝脾肿大,常有多系统受累的表现,如肾病综合征、淀粉样变、重症肌无力、周围神经病,颞动脉炎、舍格伦综合征(干燥综合征)、血栓性血小板减少性紫癜及口腔、角膜炎性反应。20%~30%的患者在病程中可并发卡波西肉瘤或B细胞淋巴瘤。少数患者若同时出现多发性神经病变、器官肿大(肝、脾)、内分泌病变、血清单株免疫球蛋白和皮肤病变,则构成POEMS综合征的临床征象。此外,多中心型临床常呈侵袭性病程,易伴发感染。
超声图像主要表现为以下几点:1、肿块呈单发低回声,边界清楚,多数可显示细亮包膜回声;2、内部回声常欠均匀,内部可见片状、点状高回声,也可出现伴声影的钙化灶;3、彩色多普勒血流显像(CDFI)显示其内部血供较丰富,可呈多发散在短棒样血流信号,部分血供极丰富的病例,亦可呈甲亢样“火海征”表现,(与小血管增生的病理表现相符合);4、脉冲多普勒(PW)测得肿瘤内部低速低阻型动脉血供,阻力指数(RI)多小于0.4。
颈部、腋窝等浅表淋巴结起病的LCD与以下疾病有某些相似的临床表现和(或)超声影像学改变,应予以鉴别:
1、霍奇金病(HD)好发于儿童和青少年 也表现为无痛性、进行性的单一淋巴结肿大,多位于颈部,临床表现可有周期性发热等症状。而LCD多无或仅有轻微临床症状。超声表现多为椭圆形低回声,边界清,可有细包膜回声,血流信号丰富,多不伴钙化,PW见淋巴门小动脉阻力指数(RI)较高,为0.69~0.77
2、淋巴结结核 最常见于颈部。儿童、青年发病者居多,临床上有结核菌感染史,受累淋巴结愈合后可伴硬结、钙化,超声表现椭圆形或圆形低回声,可群集并互相融合,边界清,无明细包膜回声,内部回声低而不均匀,可见强回声钙化斑,而CDFI示肿块无或仅有散在点状血流信号。
3、神经鞘瘤 发病以青壮年居多,临床上可无症状,少数因神经受压症状就诊,多单发,超声表现多呈单一低回声,边界清,有明显包膜回声,有时可出现点状或团状钙化和(或)囊性变,CDFI血流无明显特异性,脉冲多普勒表现瘤内血管为高阻力型,注意仔细扫查瘤体与神经关系可助鉴别。
4、淋巴结转移癌 因乳腺癌、鼻咽癌、口腔癌等器官原发病灶通过淋巴管引流发生,超声表现为单个或多个低回声聚集,多呈圆形,钙化少见,CDFI示血流信号丰富,根据病史并搜索原发灶可予鉴别。
发生于颈部和腋下的局限型Castleman病在超声上表现为单发肿块,边界清,有包膜,内部多为不均匀低回声,常伴有条状和(或)点状的强回声,CDFI示其内丰富血流信号,呈短棒状散在分布,PW测得瘤内动脉频谱为低速低阻型。临床上如发现无症状的单一淋巴结肿大,超声有上述表现的,应怀疑此病并与类似病变相鉴别。结合患者病史和查体可提高诊断符合率,而确诊需行穿刺或手术病理活检。
