这么典型的肺动脉血栓,可能没多少人见过!
https://mp.weixin.qq.com/s/wjaePTxjQvzD9FxbspCbqw
患者男,38 岁,因上班时突发晕厥半小时急诊入院。
急诊床旁心电图提示窦速、不完全性右束支传导阻滞、右室大、心轴右偏、肺性 P 波、胸导联 r/s 小于 1、avr 导联比例倒置。
动脉血气分析提示:低氧血症、低碳酸血症、肺泡-动脉氧分压差增大。指尖血糖正常,心梗三项正常。D-二聚体 2.04 mg/L。
急诊床旁心脏超声所见如下:


图 1 和图 2 左室长轴切面示右室显著增大,其前壁运动减弱、消失,室间隔呈矛盾运动,左室收缩功能正常


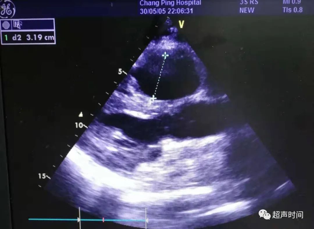
图 3 和图 4 大动脉短轴切面显示右心房右心室增大,肺动脉扩张,左心室呈 D 型,充盈受限



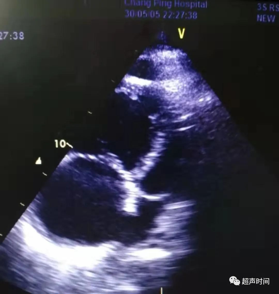
图 5~图 7 四腔心切面显示右心明显增大,心尖区少量心包积液,三尖瓣大量反流,估测肺动脉收缩压 127 mmHg
此时,根据超声所见并结合临床,考虑可能存在肺栓塞。于是再回去仔细检查大动脉短轴切面,果不其然:


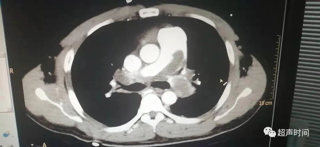
随后患者行肺动脉增强 CT 检查,证实双侧肺动脉广泛血栓形成。

病例讨论
肺血栓栓塞症(PTE)是肺栓塞中最常见的一种,系由于血性栓子进入肺循环内堵塞肺动脉以及肺动脉的分支引起肺循环的功能障碍的临床综合征。
PTE 一般起病急骤,病死率高。若血栓巨大,可阻塞整个肺循环,引起休克和心脏骤停。若血栓较大,可导致急性右心衰竭,影响左心室充盈,降低心输出量。而中等大小的血栓,可导致呼吸窘迫及肺梗死。多发小血栓与独立大血栓危害相当,而单发小血栓可无明显症状。
超声表现
直接征象:肺动脉及其分支内可见血栓,表现为索条状或团块状稍强回声团。
间接征象:右心增大;肺动脉扩张;室间隔矛盾运动;肺动脉压增高;三尖瓣返流速度增快
特殊征象:肺动脉频谱可见收缩早期加速时间缩短,晚期减速较慢,频谱形似拇指伸展的握拳状(拳指征)。右室游离壁运动减弱,但心尖部运动正常甚至加强(McConell征)。
注意事项
肺血栓栓塞直接征象虽然有一定的检出率,但当血栓较小或栓塞发生在肺段动脉以下时,诊断更多的依赖超声间接征象。在无心肺病史的前提下,临床症状+超声间接征象+辅助检查,特别是患者存在明确危险因素,如下肢静脉血栓,超声可以帮助临床提示肺栓塞可能。
备注
PTE 患者一般表现为低氧血症、低碳酸血症、P(A-a)O2 增大,血浆 D-二聚体增高(>500 μg/L)。心电图表现形式多样,包括窦速、完右或不完右、V1~V4 导联 T 波改变和 ST 段异常、肺型 P 波、电轴右偏、顺钟向转位等。
肺动脉造影是诊断 PTE 的金标准,但由于为有创检查,通常选择肺动脉增强 CT 检查。
怀疑 PTE 时,可行下肢深静脉血管超声,或可发现血栓,可增加诊断力度。
肺栓塞通常为超声检查的危急值,若发现,需第一时间按流程上报。
右心扩大的诊断思路:

