多图讲解胎儿宫内窘迫缺氧的诊断
https://mp.weixin.qq.com/s/tcIz9rBF5GAhxRXRDHxROw











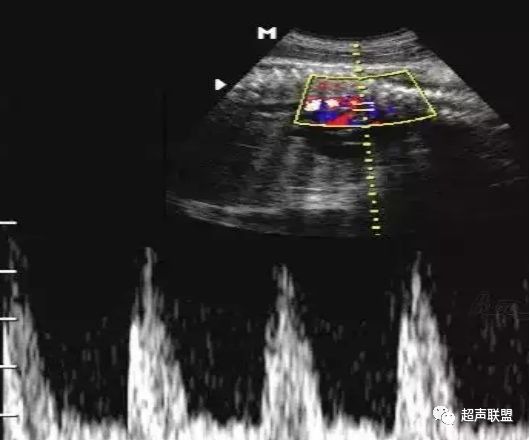
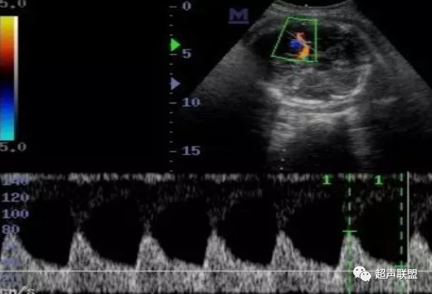
图1 正常脐动脉血流频谱



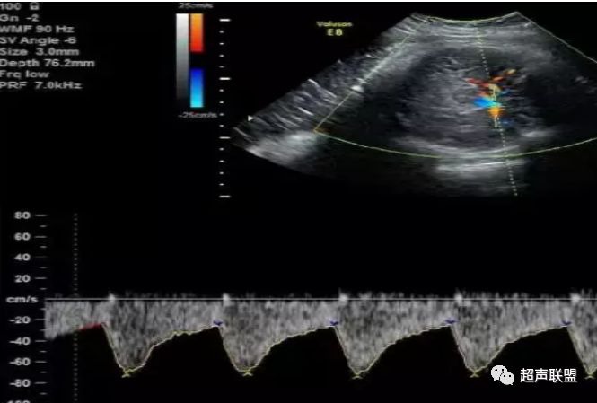
图2 脐动脉舒张期血流消失或反向

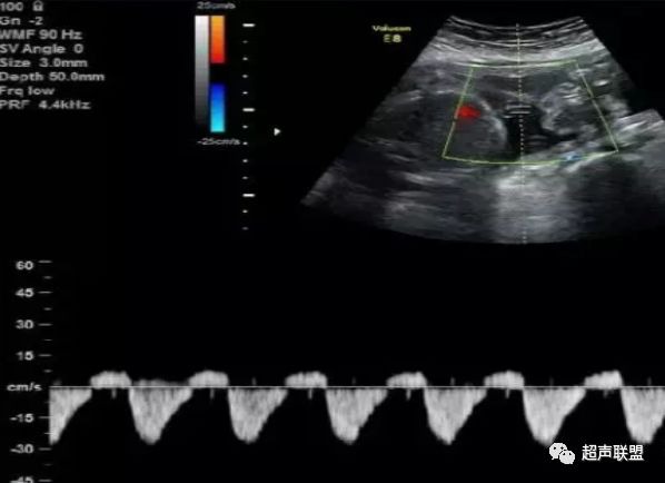
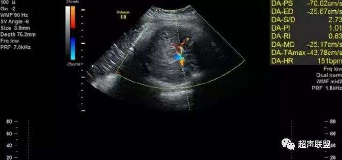
图3 正常大脑中动脉血流频谱


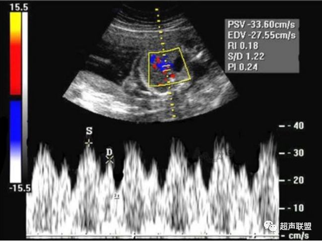
图4 大脑中动脉血流阻力减低


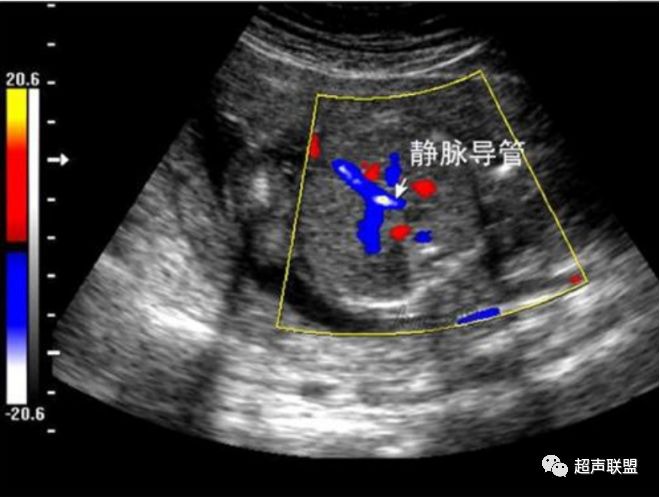
图5 胎儿宫内正常静脉导管


图6 胎儿宫内缺氧时静脉导管a波反向


图7 正常中孕期子宫动脉频谱


图8 胎儿宫内缺氧,子宫动脉舒张早期可见切迹

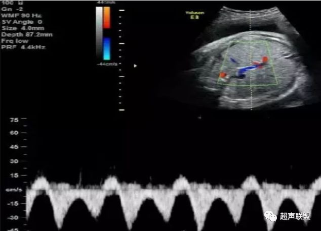
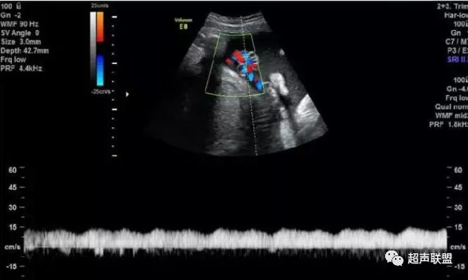
图9 脐静脉搏动

胎儿缺氧
多图讲解胎儿宫内窘迫缺氧的诊断
https://mp.weixin.qq.com/s/tcIz9rBF5GAhxRXRDHxROw











图1 正常脐动脉血流频谱



图2 脐动脉舒张期血流消失或反向

图3 正常大脑中动脉血流频谱


图4 大脑中动脉血流阻力减低


图5 胎儿宫内正常静脉导管


图6 胎儿宫内缺氧时静脉导管a波反向


图7 正常中孕期子宫动脉频谱


图8 胎儿宫内缺氧,子宫动脉舒张早期可见切迹

图9 脐静脉搏动

胎儿缺氧
