u 第二代差量谐波成像技术(Differential Tissue Harmonics II)
东芝独有的谐波成像技术,同时发射匹配性极好的两个高低不同频率的复合波束,通过提取其差量波和较低频率的二次谐波信号进行成像,充分利用东芝BT系列探头的带宽,革命性地实现谐波的宽带发射和接收,在保留谐波成像信噪比优异的同时显著提高了图像的穿透力和分辨率,弥补了传统谐波成像的不足,带来优异的图像再现,全面拓展了谐波成像的临床应用。通过临床验证,差量谐波具有传统谐波不可比拟的优势,在谐波状态下图像穿透力仍可达到40cm,全面提升彩超的临床应用,堪称谐波成像技术的里程碑,基于其独具的先进性与实用性,该技术已被载入权威教材“超声医学”中

u 增强的精确成像技术(Precision Imaging+)
铂金Aplio400搭载了增强的精确成像技术,为您呈现前所未有的真实组织信息。它采用了前端信号处理技术,利用邻近声束的信息相互加强,在像素水平实施信号的降噪甄别,组织和组织之间的相关信息被真实提取而非人为差补,由此带来更为优异的组织结构层次,将不同的组织的边界予以真实再现,同时实现同一组织的均匀显示,最大程度地还原组织的原始信息,利于微小病变的早期发现。

u 第三代高级复合成像技术(ApliPure™+)
ApliPure™+包含了先进的空间和频率复合成像技术,为临床提供更加全面的组织回波信息,能够进一步提高图像的穿透力与对比分辨率,减少斑纹噪声。具备多种组合模式,每种组合都有其特有的临床优势,满足不同临床应用的需要。
ApliPure™+ 成像可以和东芝其他的创新技术共同使用,如精确成像、差量谐波、高级动态血流成像等,为您带来全新的高标准的图像质量。

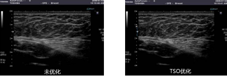
u 组织特异性优化成像TSO(Tissue Specific Optimization)
传统超声设备在成像时假定声速是恒定的,这样的假定难以反映人体不同组织中声速的变化,特别是在对一些肥胖病人检查时,由于超声波在脂肪层与在肝脏、乳腺实质内传播的速度存在有较大差异,如若对此未加校正,采用固定的声速值计算成像将造成接收的回波信号失真,从而带来不真实的图像再现,影响医生做出正确诊断。TSO 组织特异性优化技术可以对在脂肪组织中较低的传播声速予以补偿,纠正误差,带来图像的真实再现,提高图像的细微分辨率。该技术具有多级调节,满足不同程度的肥胖患者乳腺、腹部脏器检查需要。

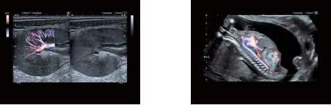
u 全新一代高级动态血流成像技术ADF(Advanced Dynamic FlowTM)
该技术是东芝公司独创的彩色多普勒成像技术,具有高分辨率、高敏感、高帧频的血流成像特点,可以高分辨显示微细血流信息,其优异的成像得到了广大专家的喜爱和充分认可。
铂金Aplio400采用全新一代高级动态血流成像技术,基于HD-B成像引擎,利用多普勒成像的宽带发射和接收技术(传统的彩色多普勒成像采用窄带发射和接收),突破性地从原理上提高了血流成像的分辨率,与此同时,血流的敏感度进一步提高、成像帧频进一步提升。

高级动态血流技术具有极大的应用价值,在众多应用领域都有其临床优势,如肿瘤等占位性病变微细滋养血管的显示;乳腺、肝肾、胰腺等各种器官的细微血管的显示;断肢再植血管的显示;胎儿心血管系统的显示等等,该技术可以广泛应用于各种肿瘤的良恶性鉴别、多器官的血流动力学研究、胎儿先天性心血管疾病的诊断等众多领域。
SMI具有两种成像模式:彩色(color )模式和灰阶(monochrome)模式
彩色模式(cSMI):同时显示组织的二维灰阶信息和彩色血流信息
灰阶模式(mSMI):抑制组织的二维灰阶信息,利用灰度信号来凸显血流信息

