1. 容积成像
* 琥珀成像Shadow Glass (包括组织成像和血流成像两种模式):半透明成像效果,兼容所有彩色模式,可结合组织和血管信息,易于病灶判断。


* Luminance点光源仿真模式:可移动虚拟光源,分辨率进一步提升,响应时间快,支持4D&Smart sensor 3D
* 多切面显示模式&STIC模式:


* 自动容积测量功能:通过识别无回声/极低回声区域的轮廓来自动计算容积。临床可用于卵泡的计数,监测排卵等。


* Omni-view成像:任意展示解剖切面,增加诊断信息

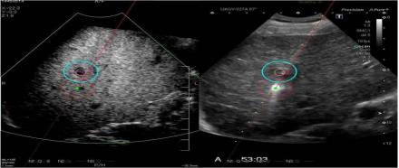
2. 全面的造影功能(Contrast Enhancement Ultrasound):系统可以四幅图(二维, 造影, 微血管累积模式MFI/到达时间参数成像P-MFI, 混合模式)同时显示,方便进行介入治疗方案的选择和即刻疗效的评估。

全面的造影模式包括以下几种模式:
精确造影成像技术(PCI)- 独有的技术
极大提高了造影成像的敏感度与图像的细微分辨率。
差量谐波造影成像技术(DCI)- 独有的技术
优异的穿透力和对比分辨力,最佳的造影成像的远场显示及灌注细节。
血管识别成像(VRI)- 独有的技术
1. 方向性地观察肿瘤血管的走向,利于肿瘤新生血管的判断和分析及发现微小病灶。
2. 二维组织成像与造影剂灌注情况的同时显示。
3. 将造影剂的灌注状态以三种不同颜色同时显示,用红/蓝色方向性地显示较大血管的灌注,以绿色高分辨地显示微细血管的灌注,使得造影剂达到最佳的显示效果。
到达时间参数成像(P-MFI):
1. 对于具有不同血供特点的疾病方便的实施鉴别诊断。
2.对造影剂的灌注按时间顺序彩色编码,清晰显示微血管造影剂灌注。

4D造影谐波成像技术(4D CHI):
1. 可应用于妇科领域,包括4D子宫输卵管造影;
2. 具备多切面显示功能,像观察CT片一样,更为全面了解病变的灌注情况。

造影定量分析(CHI-Q):
1. 可提供精确的造影剂灌注的定量分析数据用于临床诊断与科研。
2. 自动的ROI 追踪技术可有效消除呼吸运动的影响,提高定量精度。
3. 造影成像原始数据存储可以方便实现在机和脱机的定量分析

3. 实时弹性成像(Realtime elastography):具有多种显像模式:双幅实时对比成像模式(常规灰阶+弹性成像)、二维灰阶与彩色弹性成像的叠加模式。支持多种探头,应用于子宫等组织器官。
4.智能传感器3D成像(Smart Sensor 3D) :该技术在于弥补常规容积探头成像范围的不足,容积图像范围更大。Smart Sensor 3D可以与其他成像技术联用,包括超微血流成像iSMI、超声造影CHI,Fly Thru,剪切波弹性成像SWE等,
5. 仿内镜导航技术Fly Thru:实时动态显示人体内液性的管腔、体腔和血管内部的立体结构,帮助临床对体内的微小病变更好的发现和治疗,应用于容积探头或Smart Sensor 3D模式。

6. 智能融合&智能导航技术(Smart Fusion&Smart Navigation):智能融合技术可实现先前检查所获取的超声容积数据与实时2D超声图像之间的自动位置匹配,可用于介入治疗评估;也有CIVCO omniTRAX装置,实现超声图像和CT/MRI图像之间的自动位置匹配。


智能导航:利使用装有传感器的穿刺针,在超声图像上叠加穿刺针导航引导线,模拟显示穿刺针的路径和针尖的位置来实现导航,实时双屏幕针道显示,临床上利于穿刺介入。

7. 剪切波弹性成像SWE(Shear wave Elastography):
SWE临床应用领域:肝脏,甲状腺,乳腺,肌骨,前列腺等。
佳能SWE独有技术:
1:剪切波传播模式(传播图和方差图)

传播图和方差图临床意义在于:传播图可以直观定性组织弹性:可通过等时到达曲线显示模式初步判定组织的硬度情况(较硬的组织中剪切波传播速度加快,曲线间距变会变宽,较软的组织中剪切波传播速度减慢,曲线间距则会变窄);传播图和方差图还可以作为质控指标评估取样情况:在剪切波传播图中,我们可以利用等时到达曲线的平滑、平行情况及方差显示模式的色彩标示来评估目标区域取样的可信度。
2:智能MAD(Measurement Area Detection):进一步加强了SWE的质控,实现了精准定量,如下图所示

Ø 剪切波取样框被分为数个小区域(SD-ROI),计算每一个区域的SD值;
Ø 用户选择并预设置阈值,分析每一个小区域内传播速度的平均值和SD值;
Ø 使用SD-ROI 计算ROI中的颜色并显示出来。
3:SWE的ECG 同步采集:显著减少了伪像,并确保了可以获得更精准的结果,
如下图所示:

8.声衰减成像ATI(Attenuation imaging) --独有的技术
ATI通过智能测量衰减系数来量化衰减 dB/cm/MHz。

ATI对于脂肪变性和纤维化分期的声衰减值精准定量,结合SWE和超声造影技术,利于肝脏病变智能全面定量分析,更好的进行肝脏疾病的管理。
9. “萤火虫”成像 (MicroPure Imaging) --独有的技术:能显著提高组织内的微小钙化的显示,用于乳腺,甲状腺,肌骨等器官。该技术将以往未能被显示出来的微小钙化点凸显出来,使其显示如萤火虫般醒目(较原始微小钙化的亮度提高10倍以上)。
10. 全面的心脏应用:Aplioi900可为临床提供全方位心脏超声解决方案,支持专业的经胸心脏探头及经食道探头。

1) 二维/三维室壁运动追踪技术 (2D/3D Wall Motion Tracking)


2) 心脏容积成像

