1.TCI空间像素聚焦技术:
基于cSound™平台,按照空间排序还原超声像素图像,近、中、远场同时聚焦,支持所有探头和成像模式。在自动获得最佳的空间分辨率、对比分辨率、图像均一度及穿透力的同时不降低帧频,同时兼顾空间分辨率及时间分辨率。

2.ACE 智能像素优化技术:
基于cSound™平台,智能去除噪音,增强真实解剖结构,自动获得更佳的对比分辨率,同时不降低帧频,从而明显提升图像质量。支持所有探头和模式。

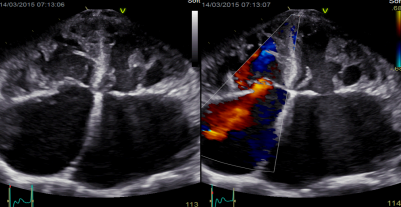
3.VirtualApex虚拟心尖技术:
VirtualApex虚拟心尖技术——相控阵探头提供的近场宽成像视角,能够扩大心尖部结构成像范围,并消除近场干扰,使心脏右室前壁、心尖部等近场部位的诊断更容易。

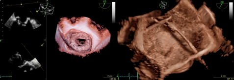
4.HDlive内腔镜四维成像技术:
HDlive先进的四维成像呈现方案,通过模拟光源在组织中传播和散射的原理,增强可视化成像效果,以外科视野方式,便于更好理解四维立体结构,以用于临床诊断与治疗效果评估

5两点剪切技术(2-ClickCrop):
任意点击、简单拖拽,“一点一拉”间轻松获取任意心脏结构的四维图像。通常在实时扫描和存储的图像中显示标准和非标准的切面相当困难。而两点剪切技术是一种简单、快速、直观的实时成像工具,只需要在二维或四维图像中确定两点位置,即刻帮助您快速且简便地提取结构中的非标准视图,即刻实现四维成像。这一技术真正帮助我们将四维成像变得如二维成像般简单,协助我们把四维成像技术真正的应用于临床日常工作。
