病例分享
https://mp.weixin.qq.com/s/BrWC5kEs2I0pXCyXN0zl2A
患者女性, 95 岁,因纳差 3 月,乏力 2 天入院,无发热,胸闷胸痛等症状。
入院检查
血压 171/69mmHg , B 型钠尿肽(BNP):1318.20 pg/ml ,肌酸激酶: 253 U/L 、 α 羟基丁酸脱氢酶:209 U/L、同型半胱氨酸:39.30 μmol/L 。
心电图提示 ST-T 改变, III 、 avf 导联 ST 段向上抬高。
超声可见
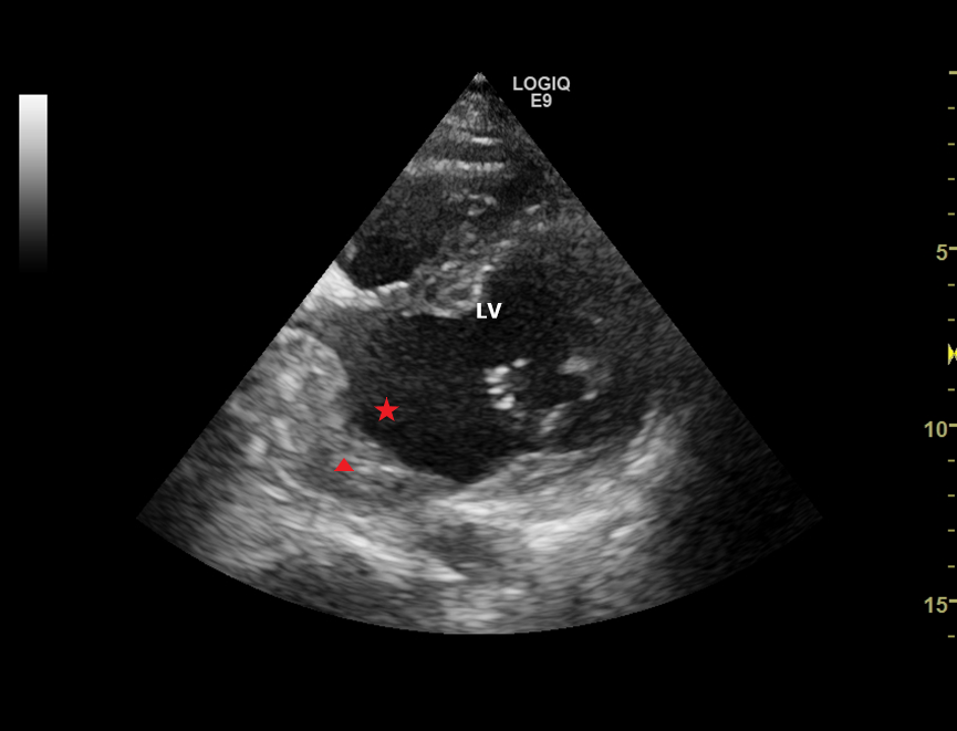
左房前后径:38mm , EF:53% , FS:28% , SV:74ml 。左室短轴切面,可见后间隔基底段、左室下壁基底段心肌变薄,运动及增厚率减低,局限性向外膨出呈瘤样改变,瘤体范围约 58x57mm ,瘤颈宽约 56mm ,瘤体内部可见范围约 51x20mm 的等回声团块。CDFI:瘤体内血流速度缓慢。
超声提示
左室下壁真性室壁瘤伴附壁血栓形成。

经验总结
本例患者是一例较大的左室下壁室壁瘤,但患者没有胸痛的病史,在标准的左室长轴切面和心尖四腔心切面,并没有显示出室壁瘤,而在左室短轴切面,和不规则的心尖切面可以显示,因此,我们在工作中,一定要多切面扫查,以防漏诊。
另外,我们需仔细观察瘤腔内血栓的情况,并用 CDFI 观察心室壁是否有异常过隔血流。
临床治疗
室壁瘤的外科治疗主要是切除室壁瘤后进行左心室重建,使有功能的心肌再血管化。
