背景肺部超声检查可用于儿童和成人肺炎的诊断。本研究调查了严重新生儿肺炎的肺部超声结果。
方法
2012年9月至2013年10月,收治的80例新生儿根据病史,临床表现,胸片检查结果及40例新生儿分为新生儿重症肺炎及40例没有肺病的(对照组)。所有受试者都在安静的状态下接受了床边肺部超声检查。一位专家医师进行了所有的超声波检查。比较各组的胸膜线异常,B线,肺实变 空气支气管征,双侧白肺,间质综合征,肺滑动和肺脉搏。
结果
与感染性肺炎相关的肺部超声检查结果包括大面积肺实变,边缘不规则和空气支气管征,胸膜线异常和间质综合征。大面积不规则边缘肺实变对新生儿肺炎的诊断具有100%的敏感性和100%的特异性。
结论
肺超声检查是诊断新生儿肺炎的可靠工具。适用于新生儿重症监护病房的常规使用,并可能最终取代胸部X线摄影和CT扫描。
材料和方法(略)
病人资料
患者分为两组。肺炎组由40名新生儿组成,其中15名患有先天性肺炎(出生后24小时内诊断),18名患有出生后肺炎(出生后12.7±3.3天诊断),7名患有呼吸机相关肺炎(诊断后7.1±1.9天机械通气)。临床工作人员根据以下标准诊断新生儿肺炎:(1)出现咳嗽,发烧或呼吸困难; (2)听诊时有细湿罗音; (3)WBC计数显着增加或减少,中性粒细胞增加或未成熟/总中性粒细胞比例增高,血沉增高或C-反应蛋白水平升高; (4)胸部X线片上肺野中密度不均匀的斑片状模糊阴影。如果没有明确的感染证据,或者他们有严重的并发症,如肺出血或气胸,可能影响肺部超声检查结果,则排除患者。对照组由40名无肺部疾病的新生儿因非感染性黄疸,早产或其他非肺部疾病住院治疗。对照组患者未接受胸部影像学检查。
肺超声检查
高频线性9至12 MHz探头,用于超声检查。 在安静状态下,新生儿定位在仰卧位,侧卧位或俯卧位;
统计分析
数据分析使用SPSS for Windows,版本16.0(IBM)软件进行。 通过Fisher精确检验比较两个研究组之间的超声异常发现,并计算诊断新生儿肺炎的结果的特异性和敏感性;
结果
正常肺超声表现

图1
正常肺部超声检查发现新生儿(胎龄37周+4;出生体重2,970克)因出现病理性黄疸而在出生后3天住院。 胸膜线和A线平滑,清晰,相互平行,没有B线或彗尾
肺炎患者超声检查结果分析
肺炎的主要超声发现如下
1.A线路异常:消失,不规则,中断和粗糙外观;
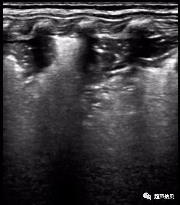
2.肺实变:(图2,图3,图4)

图2:新生儿肺部超声检查在胎儿(胎龄37周;剖宫产分娩;出生体重3,700克)在分娩后29小时,无胎儿窒息。 婴儿出现呼吸窘迫,发热,白细胞计数为30×109 / L,中性粒细胞为81%,血小板计数为67×109 / L,C反应蛋白水平为39 mg / L。 肺部超声检查显示肺部不规则的肺实变区,右肺大部分有空气支气管征,胸膜线和A线消失,少量胸腔积液,肺部滑动消失,肺部脉搏减少。 胸部影像学证实了肺炎的诊断,这在右侧更为严重。

图3:新生儿肺炎的超声检查结果(胎龄31W+1 d;阴道分娩;出生体重1,550 g)在羊水胎粪污染,分娩后47小时检查。 婴儿出现呼吸窘迫,体温过低,WBC计数为19.8×109 / L,中性粒细胞为87%,血小板计数为87×109 / L。 患者机械通气,血培养生长肺炎克雷伯菌。 肺部超声显示不规则的肺实变区,右下肺大部分处有充气支气管征,胸膜线和A线消失,肺滑动消失,肺部脉搏减少。 胸部X光片显示右下肺高密度阴影;

图4肺部超声检查发现新生儿肺炎(胎龄38周,体重4000克),入院时患有呼吸窘迫症状和3天发热史。 根据胸部听诊时密集的湿啰音,常规血液检查结果和胸部X线检查结果诊断该患者肺炎。 肺部超声显示两个大面积的肺实变,边缘不规则,不均质回声,胸膜线和A线消失
3.间质综合征:每个检查区域存在三条以上的B线或白肺
4.肺滑动消失
5.脉搏:通过与心率同步的脉动替代肺部滑动
表2列出了肺炎的详细肺部超声检查结果
表2几种常见肺炎超声征象的发生率
超声征象 肺炎(40例)对照组(n = 40 P值
肺实变 40(100) 0(0) <.001
动态空气支气管 21(52.5) 0(0) <.001
胸膜线异常 36(90) 0(0) <.001 胸腔积液 8(20) 0(0) <.001
间质综合征 40(100) 0(0) <.001
肺滑动消失 30(75) 0(0) <.001
肺脉 12(30) 0(0) <.001
肺实变为新生儿肺炎的诊断敏感性和特异性指征
在包括呼吸窘迫综合症和肺不张在内的一些呼吸系统疾病中可观察到肺实变,但仅在新生儿肺炎中观察到大面积肺实变不规则边缘.根据本研究的超声结果,大面积 的肺实变不规则边界敏感性为100%,特异性为100%,用于严重新生儿肺炎的诊断。
讨论
肺超声检查被认为是诊断多种肺部疾病的通用工具,已被用于诊断儿童和成人社区获得性肺炎。在本研究中,我们评估了有用性肺部超声诊断新生儿肺炎的诊断标准 - 基于儿童和成人感染性肺炎的诊断标准。新生儿肺炎的肺部超声表现为大面积的实变,边缘不规则和空气支气管征,胸膜线异常和间质综合征。大面积的肺实变不规则边界对新生儿肺炎的诊断具有100%的敏感性和100%的特异性。
肺实变与支气管充气征是新生儿肺炎最重要的超声检查结果之一,但也可能发生在其他肺部疾病,如呼吸窘迫综合征和肺不张.根据本研究结果与文献报道4,12例新生儿肺炎合并肺结核具有以下超声特点:(1)大面积实变; (2)同一肺野内不同大小和形状的低回声区; (3)合并领域周边不规则的浸润;和(4)动态空气支气管征,它们是呼吸期间观察到的运动运动的分支回声结构。在这项研究中,在40例新生儿肺炎中有21例(52.5%)观察到动态支气管征。胸膜线异常和间质综合征是常见的,但新生儿肺炎的非特异性超声结果与炎症反应和炎性渗出物的程度有关。在严重的情况下,也可能有胸腔积液。所有这些征象还可见于其他肺部疾病,如新生儿的呼吸窘迫综合征和短暂性呼吸急促.,18在本研究中,30例(75%)新生儿肺炎患者的肺滑动消失,在12例(30%)中观察到肺脉搏。严重呼吸窘迫综合征和不通气肺中的阻塞性肺不张也可以观察到肺脉搏,其严重程度与肺不张的严重程度相关。所有这些症状对诊断新生儿肺炎的有效性需要进一步研究,但肺超声检查绝不会孤立地执行。典型的肺部超声结果与典型的临床表现相结合可诊断为肺炎。新生儿的呼吸窘迫综合征和短暂性呼吸急促可能有一些肺部超声检查结果,这些结果也在肺炎中发现,但他们的临床表现不同于肺炎
这项研究有一些局限性。它基于非连续便利样本,可能不能完全代表所有严重新生儿肺炎的病例或结果。该研究仅包括基于临床标准的严重肺炎患者,并没有报告轻度肺炎患者的肺部超声检查结果,这需要进一步研究。所有超声波检查都由一位专家检查员完成,因此结果可能不适用于经验不足的检查员。执行肺部超声检查的医师应该接受适当的培训,并且在新生儿重症监护病房常规使用此程序之前有足够的经验。在对照组中没有进行胸部X线片,尽管这是一个合理的假设,即结果将是正常的。在对照组中进行胸部X光摄影以进行比较目的在伦理上是不可能的。没有测量超声检查结果的观察者间或观察者间的差异。鉴于肺部超声检查可能在新生儿医学中有重要应用,这需要进一步研究。
总之,这项研究表明肺超声检查对新生儿肺炎的诊断有用。超声检查准确,价格低廉,易于在床边进行,特别适用于难以运送到放射科的新生儿。肺部超声检查对于指导紧急情况下挽救生命的治疗也可能有用。最重要的是,超声检查不会使患者接触放射线,与放射线摄影和CT成像相比,放射线摄影和CT成像具有DNA损伤风险,因此与癌症风险增加有关[24,25]。床边肺超声检查是可行的并在新生病房方便,最终可能取代胸部X线摄影和CT扫描。

