新生儿坏死性小肠结肠炎超声特点
https://mp.weixin.qq.com/s/jXEoeXgkmEBMGjDtKJdcQw
新生儿坏死性小肠结肠炎是新生儿中常见的急性肠道疾病,系多种原因引起的肠黏膜炎症性损伤,因持续的缺血、缺氧,炎症可扩散至整个肠壁,导致小肠、结肠局部或弥漫性坏死,同时伴有肠道血管受损导致细菌入 侵门静脉系统。多见于早产儿中,在临床上主要表现为腹胀、血便、呕吐等症状,病情严重者会出现休克的现象,目前对该病的发病机制尚不明确,其发病率、致死率较高,早期诊断和及时治疗十分重要。
坏死性小肠结肠炎的超声表现主要包括肠壁积气、门静脉及其分支积气、肠壁厚度改变、肠壁血流灌注改变、腹腔游离气体、腹腔积液,其声像图也可不完全出现。
1、肠壁积气表现为肠壁黏膜下或浆膜下的高回声区,积气量较少时,高回声区呈点状、线状或短条状;较多积气时,可见高回声区呈圆形或半圆形环绕肠壁。患儿肠壁黏膜可因缺血缺氧而发生破损,肠腔内的气体进 入肠壁间质后形成肠壁积气,肠道内的细菌穿透肠壁后释放代谢产物亦可形成肠壁积气,少量肠壁积气则易与肠腔内气体混淆,但前者不会随着肠蠕动、呼吸运动、体位改变而变化,探头加压腹壁时肠壁积气亦不会因压力而改变。
2、门静脉及其分支积气表现为门静脉主干或分支内点状高回声区或片状 高回声区,高回声灶可随血液流动。门静脉 积气 的形成原因主要为门静 脉积气是肠壁积气进一步发 展的结果,渗入肠壁小静脉的气体,从肠系膜血管回流至门静脉系统,从而形成门静脉积气;腹腔和肠道内产气菌感 染导致门静脉积气。门静脉积气也是坏死性小肠结肠炎的典型声像图表现之一。
3、肠壁厚度改变可见肠壁厚度的不均匀改变。早期坏死性小肠结肠炎声像图表现为以小肠为主的肠壁肿胀增厚,此后由于肠壁缺血、缺氧持续存 在,肠壁黏膜组 织结构进一步受损,声像 图可见部分肠壁变薄。患儿 肠壁均不同程度增厚(正常新生儿厚度<3.0mm)或变薄(厚度<1.0mm),且常伴随肠蠕动改变。
4、肠壁血流灌注改变。新生儿坏死性小肠结肠炎患儿肠壁血流灌注情况 分三种即正常、增多、缺失。肠壁血流灌注增多均与肠壁血管扩张充血和肠壁及肠系膜血管发生继发性炎症反应有关。当 CDFI捕捉不到血流信号时,提示肠壁血流灌注缺失 ,提示肠管可能发生透壁性肠坏死。
5、腹腔游离气体表现为位于腹腔内肠管外的团状、线状或点状高回声区。腹腔游离气体是肠穿孔的结果,最常发生于远端回肠和近端结肠。少量腹腔游离气体可表现为位于肝脏和肠壁前的强回声灶,在腹腔积液时更易出现。大量腹腔游离气体可能与肠腔内气体混淆。以探头加压腹壁时,腹腔游离气体的形状极易发生改变 。
6、腹腔积液可见腹腔内游离的或局限性的无回声区,腹腔积液也提示存在穿孔。
新生儿坏死性小肠结肠炎早期腹部X线的检查结果不典型,敏感性低,腹部超声在新生儿坏死性小肠结肠炎早期诊断及病情评估中发挥优势作用。
图片图片图片 图片图片图片 图片图片图片 图片图片图片
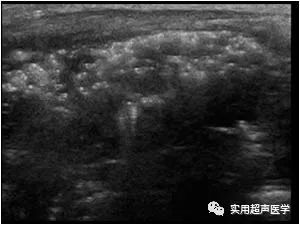
患儿女,6天,新生儿坏死性小肠结肠炎,超声表现为肠壁积气、门静脉及其分支积气、肠管扩张、肠壁血管化。







患儿男,14天,新生儿坏死性小肠结肠炎,肠壁积气、门静脉及其分支积气、腹腔积液。







