第一,第二,第三肝门的概念及影像解剖
https://mp.weixin.qq.com/s/b5TzFpKDfkxUHX2LSt938w
肝脏是人体最大的器官,位于右上腹部,足球大小,重约1.4千克,主要功能包括胆汁合成,储存糖原,调节蛋白及其他化合物合成,解毒等。

肝脏的外表光滑,内脏面有血管、肝胆管、淋巴管、神经出入口,称为肝门,按照具体的结构不同以及外科的操作,又分为第一肝门,第二肝门和第三肝门。

第一肝门
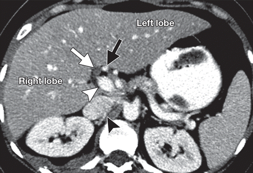
肝门,一般指第一肝门(first porta of liver),是肝脏的腹膜内中央裂隙(在内脏表面),分隔尾状叶(caudate lobe)和方叶(quadrate lobe),是门静脉(portal vein)、肝动脉(hepatic arterie)、肝管(hepatic duct)、肝神经丛和淋巴管等重要结构的出入口。


通过第一肝门,门静脉左、右支和肝固有动脉左、右支的血液流进肝脏;肝内左、右胆管排出胆汁到肝外胆管;肝左、中、右静脉出肝后汇入下腔静脉。
门静脉,hepatic portal vein,收集腹部消化系统的血液入肝,富含营养物质,进一步由肝脏代谢。

门静脉主要由肠系膜上静脉和脾静脉汇合,其他包括肠系膜下静脉、胃左静脉、胃右静脉、胆囊静脉、附脐静脉
门静脉经肝门入肝后分为两支,分别进入肝左叶和肝右叶
肝门静脉在肝内反复分支,最终注入肝血窦。肝血窦含有来自肝门静脉和肝固有动脉的血液,经肝静脉注入下腔静脉
Glisson系统即肝门静脉、肝动脉、胆管在肝内的分、属支被结缔组织纤维鞘包绕而形成的三联管道系统,似树枝状分布于肝内。
肝段就是以Glisson系统为中心,包括其所属血供和胆汁引流的肝组织所构成的一独立的“功能”单位。


第二肝门
第二肝门(secondary porta of liver)指肝左、中、右静脉出肝后注入下腔静脉的位置(在腔静脉沟的上端处,位于膈面顶部)。


肝静脉,Hepatic Vein,下腔静脉(Inferior vena cava,IVC)在肝内的左、中、右3支肝静脉,其走行区所形成的纵形切面(称为肝静脉裂)将肝分隔成4个部分。

正中裂,下腔静脉左前缘与其右前方的肝中静脉长轴的连线。将肝分为左、右半肝,裂中有肝中静脉走行
左叶间裂,镰状韧带左侧1cm处至下腔静脉左侧的连线,将左半肝为左内叶与左外叶,裂中有肝左静脉走行
下腔静脉,IVC , Inferior vena cava
肝右静脉,RHV , right hepatic vein
肝中静脉,MHV , middle hepatic vein
肝左静脉,LHV , left hepatic vein
圆韧带,LT , ligamentum teres
门脉左支,LPV , left portal vein
门脉主干,MPV , main portal vein
门脉右支,RPV , right portal vein
镰状韧带,FL, falciform ligament
静脉韧带裂,FLV , Fissure for the ligamentum venosum
肝动脉,Hepatic artery,肝固有动脉,hepatic artery proper,或固有肝动脉,hepatic artery proper,由腹主动脉发出,分布于肝左、右叶,以及胆囊和胃的一部分。
一般地,肝被分为8个段(Segment),即Ⅰ段:尾状叶;Ⅱ段: 左外叶上段;Ⅲ段:左外叶下段;Ⅳ(a+b) 段:左内叶;Ⅴ段:右前叶下段;Ⅵ段:右后叶下段;Ⅶ段:右后叶上段;Ⅷ段:右前叶上段。
Segment I,肝尾状叶,Caudate lobe
egment II,肝左外侧叶上段,Superior lateral segment left lobe
Segment III,肝左外侧叶下段,Inferior lateral segment left lobe
Segment IV,肝左内叶,Medial segment left lobe,it is further subdivided into segments IVa and IVb. Segment IVa lies superiorly, while IVb lies inferiorly and corresponds with the location of the Quadrate lobe
Segment V,肝右前叶下段,Inferior anterior segment right lobe
Segment VI,肝右后叶下段,Inferior posterior segment right lobe
Sector VII,肝右后叶上段,Superior posterior segment right lobe
Sector VIII,肝右前叶上段,Superior anterior segment right lobe
第三肝门
第三肝门(third porta of liver)指右半肝或尾状叶的一些小短静脉(3~8条小静脉)注入下腔静脉(腔静脉窝下段处)的位置,包括较大的右后下静脉(收集右肝后下段静脉血)。肝的腔静脉沟上端称第二肝门,此处有肝左、中、右静脉出肝注入下腔静脉;腔静脉沟下部则称第三肝门,该处有肝右后下静脉及小静脉出肝注入下腔静脉。
