桥本甲状腺炎合并乳头状癌的超声特征分析
https://mp.weixin.qq.com/s/ZF0NdGGjuhU-ebNh7MNmNg
桥本甲状腺炎(Hashimoto′s thyroiditis,HT)又称桥本甲状腺病或慢性淋巴细胞性甲状腺炎,是一种较为常见的自身免疫性疾病。甲状腺乳头状癌(papillary thyroid carcinoma,PTC)是甲状腺恶性肿瘤中最为常见的病理类型,约占甲状腺恶性肿瘤的60%~70%。桥本甲状腺炎与甲状腺乳头状癌之间的联系最初由Dailey等于1955年提出,近年来桥本甲状腺炎合并甲状腺乳头状癌的发病率呈上升趋势,已有文献报道桥本甲状腺炎是甲状腺乳头状癌的危险因素,特别是近年来分子生物学的发展提示p53、BRAF、RET及P63等癌基因的存在与桥本甲状腺炎并发甲状腺乳头状癌的发病有密切关系,支持桥本甲状腺炎为甲状腺乳头状癌的癌前病变。
桥本甲状腺炎病程长,病理变化多样,与甲状腺实质内的炎细胞浸润程度、滤泡破坏程度、嗜酸性细胞的出现与否及实质的纤维化程度有关。在炎症早期腺体被破坏较轻时,甲状腺滤泡间和间质内见少量淋巴细胞和浆细胞浸润,滤泡尚未发生萎缩;随着病变发展,滤泡可发生萎缩,残留滤泡呈岛状分布;炎症严重者滤泡退变并出现嗜酸性细胞。嗜酸性细胞形态各异,可呈片状,也可形成实性细胞团和小滤泡,其腔内含有胶质;炎症后期,滤泡上皮局灶性增生、复旧或萎缩,滤泡间及小叶间出现不同程度的结缔组织增生,分隔或包裹腺体组织而形成结节。
患者,女,55岁,桥本甲状腺炎合并乳头状癌(FNA)。甲状腺左侧叶纵切可见实性低回声结节(光标)与内部钙化(箭头)。
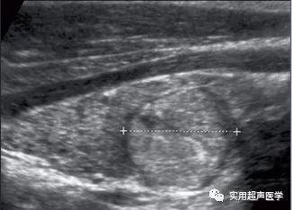
患者,女,45岁,桥本甲状腺炎和并甲状腺乳头状癌(FNA)。左侧叶探及实性低回声结节(游标)伴有内部微钙化。
患者,女,77岁,桥本甲状腺炎合并甲状腺乳头状癌(FNA)。甲状腺右侧叶探及甲状腺肿大和实性重度钙化结节。
由于桥本甲状腺炎的超声实质背景表现多样,超声对桥本甲状腺炎伴甲状腺癌的术前诊断率较低,文献报道诊断率为10%~40%。桥本甲状腺炎合并甲状腺乳头状癌主要超声特征表现为低回声、边缘不规则、点状强回声钙化。其主要原因如下。①甲状腺癌细胞面积大且重叠较多, 细胞间物质成分偏低, 在超声图像中不能形成强烈散射界面,一般以实质性低回声为主,其超声图像特征比较典型。由于桥本氏甲状腺炎合并甲状腺乳头状癌患者甲状腺实质内部存在程度不一的滤泡细胞破坏消失、纤维度,以及淋巴细胞浸润等情况,导致桥本氏甲状腺炎合并甲状腺乳头状癌患者甲状腺假结节生长方式无规律,继而与恶性甲状腺结节前后径增加生长方式发生了混淆。超声图像上结节后方声衰减、纵横比≥1等恶性特征不够典型。②甲状腺癌以浸润性生长为主,主要特征表现为无规则的形态,缺乏清晰的边界, 且不存在包膜。 ③在甲状腺乳头状癌内部,细胞生长非常迅速,突然增加血管及纤维组织的数量,造成钙盐沉积,引发钙化灶。桥本氏甲状腺炎合并甲状腺乳头状癌后,结节普遍出现粗钙化情况,粗钙化则属于营养不良钙化,表现为颗粒状、针尖状或片状,形态不规则,沉积于结节上部,或排列于上皮细胞纤维条带内,同时 在其影响下可能发生继发性组织坏死情况。对桥本甲状腺炎甲状腺实质内针尖样或粗大钙化应考虑癌灶,超声检测钙化灶情况对甲状腺乳头状癌的诊断,可作为一项特异性指标,同时微钙化灶有着准确的诊断意义,可以提高诊断的准确性。
桥本甲状腺炎增生结节为甲状腺纤维化、实质增生所形成,增生结节弥散分布,而癌结节为实质内占位性病变,较孤立,超声检查时结合癌结节内粗大钙化灶或点状钙化及血流分布特点,对伴有癌灶鉴别有一定帮助,彩色多普勒超声可以显示出甲状腺结节内部的血流情况,但由于甲状腺本身血流非常丰富,利用超声图像很难判断其周围血管是否属于新生的。

患者,男,40岁,患有弥漫性桥本甲状腺炎和结节性桥本甲状腺炎(FNA)。左侧叶显示高回声结节(光标)伴低回声晕。彩色多普勒显示结节为血管增生伴中央和外周血流。
桥本甲状腺炎不同时期病理改变可使甲状腺实质背景回声不同,当其合并甲状腺乳头状癌的超声表现也有所不同,低回声、边缘不规则、点状强回声钙化是鉴别伴桥本甲状腺炎甲状腺良恶性结节的重要特征,同时结合甲状腺自身抗体检测可能有助于提高超声对甲状腺乳头状癌的诊断率。
