产前超声:胎儿裂足畸形一例
https://mp.weixin.qq.com/s/akz3gEziPl1GYdcj00AoXA
孕妇 32 岁,G3P1,自身患有先天裂手、裂足畸形(图 1 和图 2),既往曾生育一健康女性胎儿,引产一患左侧裂手、左侧裂足畸形胎儿。此次为第 3 次怀孕,孕 13ᐩ 周行 NT 检查,要求排除手足畸形。

图 1 孕妇双手均只有 3 个手指,形似「鸡爪」

图 2 孕妇左足中趾消失,右足第二、第三趾消失,双侧足趾被分为两组
产前超声采用连续顺序追踪超声法扫查胎儿肢体,并重点观察手掌与手指、足与趾,孕 13ᐩ 周和孕 17ᐩ 周所见如下(图 3 和图 4)。患者决定继续妊娠,最终产后新生儿所见证实了产前超声诊断(图 5)。

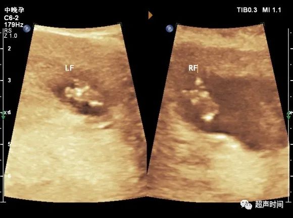
图 3 孕 13ᐩ 周。足底切面显示胎儿双足呈「V」形自足底中央部裂开,V 形尖端指向脚掌

图 4 孕 17ᐩ 周。足底切面更清楚显示胎儿双足「V」形裂开征象

图 5 产后新生儿足部所见
病例讨论
裂手裂足畸形(split hand / foot malformation,SHFM)是一种罕见先天性肢体短缩畸形,以手足中央纵向部分发育不良及缺如为主要特征,属于肢体末端的骨骼及肌肉发育异常。
SHFM 也称缺指/趾、无指/趾、裂掌/足、蟹钳手、龙虾手畸形,主要是妊娠 7 周时手部/足部发育异常所致,多数为常染色体显性遗传,染色体畸形以及基因突变均可导致畸形发生。
先天性裂手裂足畸形表现为足部中央 3 个指(趾)中一个或数个伴相应掌(跖)骨缺失,形成一个大而深的「V」形裂缺、直至跗骨,裂足可伴有裂手,少数可伴有唇裂、腭裂、多指(趾)、并指(趾)和胫骨缺失。
产前二维超声虽然可提供手指、足趾缺失的重要线索,但受孕周、胎位、羊水量、手足姿势、孕妇皮肤及皮下脂肪厚度等因素的影响,产前发现胎儿指/趾畸形非常困难,目前的产前超声诊断项目中也不包括胎儿指/趾部。
超声连续顺序追踪法是产前筛查裂手、裂足畸形的首选方法,其主要超声特征的为:中孕期,在羊水的衬托下,手(足)部存在「V」形或「U」形裂,胎儿中央部指/趾缺失。
通常裂手畸形对手部功能影响较大,可根据患者需要行矫治手术治疗。裂足畸形对行走的影响较小,预后良好。若合并其他脏器发育畸形,预后欠佳。
