部分型肺静脉异位引流的超声心动图诊断
https://mp.weixin.qq.com/s/q_gVgNEH7JE9Rb2tGPp4vw
肺静脉异位引流又称为肺静脉异位连接,是指胚胎期肺静脉与左心房完全性或部分性地连接失败,使原应回流左心房的血液经异常途径回流入右心房的先天性心脏病,发病率约占先天性心脏病的 0.4%~0.7% 。
可分为部分型肺静脉异位引流(partial anomalous pulmonary venous connection,PAPVC)和完全型肺静脉异位引流(total anomalous pulmonary venous connection,TAPVC)。
PAPVC 是指一支或多支,但不是所有的肺静脉直接或借助体静脉间接引流入右心房。
而 TAPVC 是指所有肺静脉均不与左心房相连接,而直接或间接回流到右心房。
一、胚胎学发生机制与病因
胚胎约 3 周时,原始肺静脉引流入卵黄囊静脉和主静脉等体静脉,而不与原始心脏连接;至胚胎 5~8 周时,左心房静脉窦区伸出肺静脉共同腔与原始肺静脉连接,与原来体静脉的连接逐步退化消失,肺静脉共同腔被吸收为左房壁的一部分, 4 支肺静脉与左房壁相连通。
如果肺静脉共同腔发育不良,与远端原始肺静脉未能接通,而与体静脉的连接没有退化消失,引起 4 支肺静脉未能与左心房直接相连接则导致完全型或部分型肺静脉异位引流。
二、病理解剖
PAPVC 的异位连接变异性较大,根据引流的部位可分为心上型、心内型、心下型及混合型。
常见的有:
1. 右上肺静脉和/或右下肺静脉异位连接上腔静脉,上腔静脉近心段往往扩张,常常合并静脉窦型房间隔缺损 ASD ,偶可伴继发孔型 ASD ,罕见原发孔型 ASD 。
2. 左肺静脉通过垂直静脉异位连接左无名静脉,常合并继发孔型 ASD 。还可与冠状静脉窦、下腔静脉、右上腔静脉或右房相连通。
3. 左肺静脉与左心房直接相通,右肺静脉直接与右心房相通。
4. 右肺静脉异位连接下腔静脉,在 X 线投影下其走行路径似弯刀,称「 弯刀综合征」,此病经常伴有右肺发育不良、支气管发育畸形、心脏位置右移、右肺动脉发育不良、右肺动脉起源于主动脉等。
有学者发现心内型 PAPVC 明显多于其他型,以直接入右房较多见;右肺静脉异位引流的发生率明显高于左肺静脉;右上肺静脉异位引流多于右下肺静脉,其中右上肺静脉异位引流以合并上腔型 ASD 多见,右下肺静脉异位以合并下腔型 ASD 多见。
同时还发现上、下腔静脉处没有残余缘的 ASD 易合并肺静脉异位引流,上腔型 ASD 易合并右上肺静脉异位引流,下腔型 ASD 易合并右下肺静脉异位引流。
三、病理生理学改变与临床表现
肺静脉异位引流常同时合并其他畸形,如 ASD(较为常见)、动脉导管未闭、室间隔缺损、右室双出口等。
临床表现因合并畸形不同而存在差异。
单纯 PAPVC 的血流动力学改变与 ASD 相似,临床症状出现较晚,可表现为反复的上呼吸道感染,活动后心悸气短,乏力,活动受限。
由于存在左向右分流,在同时合并有继发孔型 ASD 时,可导致右心容量负荷增加明显,肺血增多,肺动脉增宽,右心扩大。
严重时患者右心压力增加,右心功能下降,可出现体循环淤血和肺循环淤血相关临床表现。
四、超声心动图表现
单纯 PAPVC 虽然不一定需要积极的手术干预,但需要定期随访患者的肺动脉压力、右心大小及功能等,合并其他先心病的 PAPVC 若能在术前得到准确的诊断,可以帮助患儿选择合适的手术方式而且避免二次手术,因此对 PAPVC 的准确诊断非常重要。
由于肺静脉与左房位于心脏后方,位于超声远场,尤其是右下肺静脉位于右后方,更难以显示,使得超声心动图诊断困难,但仍是首选检查方法。
由于肺静脉可以出现数目增多等先天变异(例如右中肺静脉独立回流),所以对疑诊病例不能单单满足于确认回流入左房的肺静脉数量,还应留意寻找常见的异位引流部位是否有肺静脉血流汇入的直接或间接征象。
直接征象表现为多切面探查仅能显示部分肺静脉开口于左房,同时在心内和/或心外探及肺静脉异常汇入。
间接征象主要表现为右心系统容量负荷增加及肺动脉高压等。
心尖四腔心切面可以观察到右上、左上及左下肺静脉回流入左房,剑突下腔静脉切面或双房切面利用 CDFI 可以观察上、下腔静脉内有无异常血流汇入,提示有无肺静脉异位引流。
微微顺时针转动探头并压低探头,可以显示毗邻上腔静脉的右上肺静脉是否直接回流入左房。
胸骨上「 螃蟹切面」可以直接显示四支肺静脉回流情况,但是随年龄增长,该处透声窗不佳,难以同时显示。
胸骨上窝切面可以显示「静脉弓」,即左无名静脉汇入上腔静脉征象,利用 CDFI 可以显示该途径有无异常血流汇入,提示是否存在左侧肺静脉异位引流。
平时工作中,有时因图像质量不佳而忽略对肺静脉的探查,但出现下列情况之一时,要重点扫查肺静脉开口位置:
1、上、下腔静脉处没有残余缘的 ASD ;
2、冠状静脉窦增宽,有异常血流信号进入时;
3、胸骨上窝切面显示有异常血流进入垂直静脉;
4、房间隔连续性好的无其他原因引起的右心系统扩大;
5、ASD 合并中度肺动脉高压, CDFI 显示房水平的右向左的分流;
6、CDFI 显示上腔静脉血流速度增高。

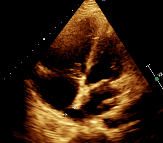
图 1 四腔心切面显示房间隔上可探及宽约 13mm 回声失落,房顶部未见明显

图 2 四腔心切面显示至少两支肺静脉引流入左房

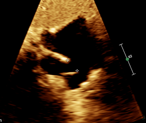
图 3 剑下双房切面显示房间隔回声失落约 17mm ,上腔静脉端无边,距下腔静脉约 30mm

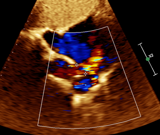
图 4 CDFI 显示房水平可见左向右分流
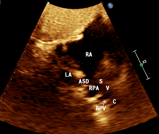
图 5 右上肺静脉进入上腔静脉-右房入口处
五、治疗及预后
单纯的一支肺静脉异位引流不合并 ASD 时,如果没有明显临床症状可以暂时不行手术治疗,如果合并较大 ASD ,右心容量负荷增加,肺血增多需要及时手术治疗。
手术的关键是避免术后肺静脉回流受阻。依据肺静脉异位引流部位不同,采用的手术方式也不同。
例如右肺静脉异位连接于右心房时,需扩 大ASD ,行心包补片缝合时将异位肺静脉开口直接隔至左侧心房;左肺静脉通过垂直静脉连接于左无名静脉时,可将垂直静脉与左心耳直接吻合。
