【眼部超声系列三】眼部常见疾病之晶状体病变
https://mp.weixin.qq.com/s/SLTieFR87VMLqhXZAuhmiQ
一、晶状体混浊 (白内障)
(一)病因及病理
晶状体混浊称为白内障(cataract),其病理过程为晶状体上皮细胞的变异、变性和偶然的增生、坏死。
晶状体上皮增生变厚影响囊膜的通透性,限制了晶状体内外物质的交换功能,最终不能分解的硬核浮游在变性的皮质混浊液中,形成白内障。
可分为先天性、老年性、外伤性、并发性、后发障、代谢异常等多种类型。
先天性白内障与遗传因素相关,另外在胚胎发育过程中一些致畸因子如母体维生素 A 的匮乏、甲状旁腺功能障碍、妊娠早期的病毒感染等均可引起先天性白内障的发生。
老年性白内障与老年代谢缓慢发生退行性变相关,多见于 40 岁以上患者。
外伤后晶状体囊受损时,晶状体因缺乏营养而发生混浊,使得原本透明的晶状体变成乳白色或不透明。
(二)临床表现
白内障造成的视力障碍通常进展缓慢,有时不会引起明显视力问题。
患者主要症状包括视力下降、对比敏感度下降、屈光改变、视物变形、单眼复视或多视、眩目、视野缺损等,晶状体浑浊明显时,患者仅可有光感,甚至有致盲风险。另外无痛性视力下降,是白内障最明显也最重要的症状。
(三)超声检查
早期表现为晶状体囊膜增厚,回声增强,晶状体内仍为无回声。
随着病情的进展,以后表现为晶状体増厚,内部回声不均匀或均匀性回声增强。
根据超声表现按混浊位置分型:皮质性、核性、后囊下性,我们具体来讨论。
(1)皮质性白内障
是白内障最常见的类型,晶体逐渐增厚(4.8~6.6mm),囊壁回声随之增强,范围也随着病情发展逐渐变大,混浊从周边向中央扩展,可分为四期。
初发期
晶体前后囊壁回声增强,外形呈完整梭形,核内回声正常或见细小光点。
膨胀期
晶体厚度增加,囊壁回声粗糙,囊内见细小光点或短线样强回声。
成熟期
晶体进一步增厚,其内回声更多,可为强回声充填,甚至呈全白混浊。
过熟期
少见,晶体失水,厚度变小,体积变小,核内局限性回声斑。

图 1 晶状体混浊初发期
图片来源:作者提供

图 2 晶状体混浊膨胀期
图片来源:作者提供

图 3 晶状体混浊成熟期
图片来源:作者提供
(2)核性白内障
晶状体多增大,晶状体混浊部位于核层,中心部可探及点状、年轮样(团状)强回声,周边部呈无回声。
(3)后囊下性白内障
晶状体可轻度增大,后囊膜孤形带回声增强,囊膜下皮质内可见细小强回声光点或短线样强回声聚集,但中心部为无回声,早期后囊膜下浅层皮质出现棕黄色混浊,到后期合并晶状体皮质和核性混浊,最终发展为成熟期白内障,表现为全白混浊。
彩色多普勒:其内无血流信号。
(四)临床意义
晶状体是屈光间质的重要组成部分,晶状体混浊会导致无法窥视眼底,而超声检查不仅可测量晶状体厚度,还可帮助临床了解眼内情况,为临床诊疗提供更多帮助。
对于先天性白内障超声检查时要注意与其他造成白瞳孔的病例相鉴别,比如:视网膜母细胞瘤、 Coats 病、永存原始玻璃增生症等,以免发生误诊。
对于并发性白内障,超声检査可了解并如是否为糖尿病代谢疾病所致、是否为眼内肿痛等。
对于外伤性白内障,超声了解后囊膜很重要,若后囊完整可考虑囊袋内植入人工晶体,若后囊大部破损则行前房型人工晶体植入术。
二、晶状体位置异常(晶状体脱位)
(一)病因及病理
正常情况下,晶状体由晶状体悬韧带悬挂于睫状体上,晶状体的前后轴与视轴几乎一致(图 4 )。
如果晶状体悬韧带部分或全部断裂或缺损,可使悬挂力减弱和不对称,导致晶状体的位置异常。
若出生时晶状体就不在正常位置,称为晶状体异位。
若出生后因后天因素、外伤或一些疾病使晶状体位置改变,称为晶状体脱位,病因可为先天性悬韧带发育不全或松弛无力,如马凡氏 (Marfan) 综合征、马切山尼 (Marchesani) 综合征或同型胱氨酸尿症。
另外外伤引起悬韧带断裂,眼内一些病变,如葡萄肿、眼球扩张使悬韧带机械性伸眼内炎症,如睫状体炎使悬韧带变性,均能导致晶状体全脱位或半脱位(图 5 )。
晶状体全脱位可向前脱入前房,向后脱入玻璃体,晶状体全脱位及不全脱位皆可引起继发性青光眼。

图 4 正常晶状体二维超声表现
图片来源:作者提供
图 5 晶状体脱位示意图
图片来源:作者手绘
(二)临床表现
晶状体半脱位,即晶状体向上、向下、向外或向内脱位。前房深浅不均,可在瞳孔区内见到晶状体边缘。
半脱位晶体的轴如果仍在视轴上,则仅出现晶体性近视。
如果晶体轴发生倾斜,可导致难以矫正的严重散光,视力严重下降。
更常见的半脱位是晶体纵向移位,可出现单眼复视。
脱位的晶体阻碍房水循环,眼内压升高,轻者眼胀、眼痛,重者头痛、恶心、呕吐。
全脱位又可分为前脱位和后脱位两种。
前脱位即晶状体脱入前房,虹膜被脱位的晶状体挤压,因而影响到前房角,房水外流受阻,而致眼压急性升高。
后脱位即晶状体脱入玻璃体后方,此时可见前房变深,虹膜震颤。
晶状体长期脱入玻璃体内使得晶状体变浑浊可导致葡萄膜炎、继发性青光眼以及视网膜脱离等;晶状体嵌于瞳孔区时,影响房水循环而也可致眼压急性升高。
(三)超声检查
晶状体半脱位时晶体前后轴与视轴不平行,前房加深,可探及晶状体部分脱离正常解剖位置,但仍有部分与正常附着点相附着。
全脱位时晶体位于其他位置。形态随声束与晶体的方向不同而改变,可为梭形、椭圆形及圆形的回声晶体囊膜。
当晶状体脱入前房时,晶状体多沉在前房,晶状体直径比位于正常位置时小,但晶状体前后囊膜增厚,伴有白内障时浑浊的晶状体则呈白色盘状物。
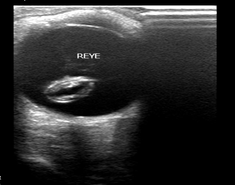
当晶状体完全脱入玻璃体时(图 6 ),则在玻璃体内可探及类椭圆形环状结构,环状结构为中强回声,不伴白内障时,内为无回声。
环状结构早期尚可活动,可随眼球转动而移动,但脱位时间长合并玻璃体内机化或与视网膜黏连时,活动不明显,此时常难以显示,易漏诊。
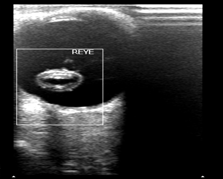
彩色多普勒检测:环状结构内无血流信号(图 7 )。
(四)临床意义
超声检査可检测出轻微的晶状体不全脱离,并能了解整个眼球内病变情况,对评估患者预后,决定手术方式有较大的临床指导意义。

图 6 晶状体全脱位二维超声表现
图片来源:作者提供

图 7 晶状体全脱位彩色多普勒超声表现
图片来源:作者提供

