2026-04-02
下载APP
今日超声
知 汇
专 栏
专 家
器 械
器头条
经销商
商头条
资 料
药 物
考 试
搜索
登录
关于
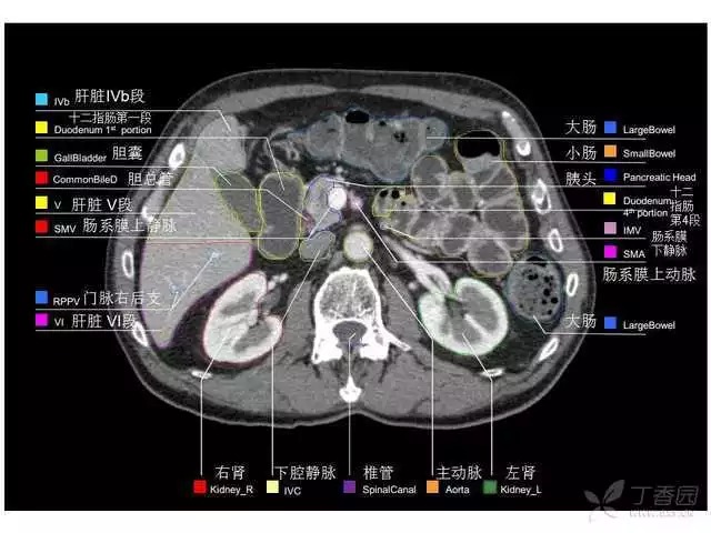
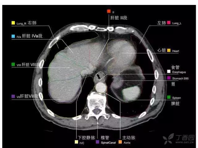
腹部肝脏高清CT断层的图谱
金神不倒
2024-05-05
来源:
转载
全腹部高清CT图谱,淋巴结彩色图谱,血管解剖图谱大汇总!
https://mp.weixin.qq.com/s/JnLQOlB3gqDNfwQFvHR6pA
收藏
投诉
请登入后发表评论
登入
最新评论
暂无评论,快来抢沙发!
猜您喜欢
灵晰PLUS,飞常灵动,瞬晰掌控,SonoBook9 PLUS 移动便携超声系统彩页
SMART——优异的性能,应用东芝彩超最高平台技术
食管的三个分段及三个狭窄
体检发现脾脏占位,有可能是什么呢?脾脏海绵状血管瘤
中间帆腔,中间帆腔测量的标准切面为丘脑平面,此腔与透明隔腔及韦氏腔一样均不参与脑脊液的循环,为潜在的腔隙
谈谈胎儿脐带绕颈
这么大的骶尾部包块,大家猜猜到底是什么?
左前臂肿物,呈低回声,你考虑什么?结节性筋膜炎
这个部位的肿物要这样诊断,思路才正确!乳头状淋巴囊腺瘤
甲状腺的自述
作者最新文章
肝段,肝内管道的分布规律
美国放射学会ACR官网,对肝脏的区域和节段解剖学概述
病例集,县城超声事业高质量发展,迈瑞高档彩超Resona A20、Recho R9在广西县城,2025年
女娲Nuewa A20高级技术—“睿瞳技术”,把看不清的肝脏稍高回声看得清清楚楚,迈瑞超声,2025年11月
病例,右肾包块,考虑肾癌,下腔静脉摆动包块,考虑癌栓、血栓,2024年9月