卵巢-附件报告和数据系统(O-RADS)的超声评估(下)
https://mp.weixin.qq.com/s/hmO8NXsezbxBWwftyqWvRg
声影通常发生在通常良性的实体中,例如性索-间质瘤(例如纤维瘤、纤维瘤变异型)。为了简化 O-RADS 的第一次迭代,它被有意排除在风险分层之外。
囊性病变—完全或主要充满液体的病变属于囊性类别。在任何囊性病变中,应首先评估的特征是是否存在完整的隔膜。如果存在2个或多个分隔,则认为病变为多房囊性病变,而没有完全隔则为单房囊性病变。下一个需要评估的特征是壁或分隔处是否存在实体或实体成分(以下称为实体成分)(实性或实体形病变的排除标准)。囊性病变的风险评估类别从 O-RADS 5 到 O-RADS 4 不等。一般来说,固体成分的ROM较高(O-RADS 5-5),而没有固体成分的成分则不属于最高风险类别(O-RADS 4)。
无实性成分的单房囊肿—当囊性病变为单房且无实性成分时,下一个要评估的特征是内壁(光滑 vs 不规则)。如果内壁光滑,则必须评估内部内容物。当无回声时,囊肿被认为是单纯的,可以这样指定,无需额外的描述符。非单纯性单房囊肿要么包含内部回声(不符合均匀低水平回声或高回声线和点的标准),要么包含不完全分隔。一个常见的伪像是交替使用词典术语“简单囊肿”和“单房囊肿”,这是不正确的。虽然根据定义,所有单纯性囊肿都是单房型,但并非所有单房囊肿都是单纯的。
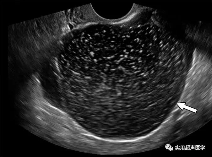
46岁女性,因粘液性囊腺瘤导致盆腔胀满。彩色多普勒超声图像显示右侧卵巢单房囊肿,内壁不规则(箭头)与卵巢-附件报告和数据系统 (O-RADS) 3 类病变一致。壁不规则不会突出囊腔超过 3 mm,因此不符合实性成分或状突起的标准。
56岁女性,伴有隐性腹痛和边缘浆液性肿瘤。超声图像显示 10.5 cm 右侧卵巢单房囊性病变,伴有与 O-RADS 3 病变一致的散射内部回声(箭头)。

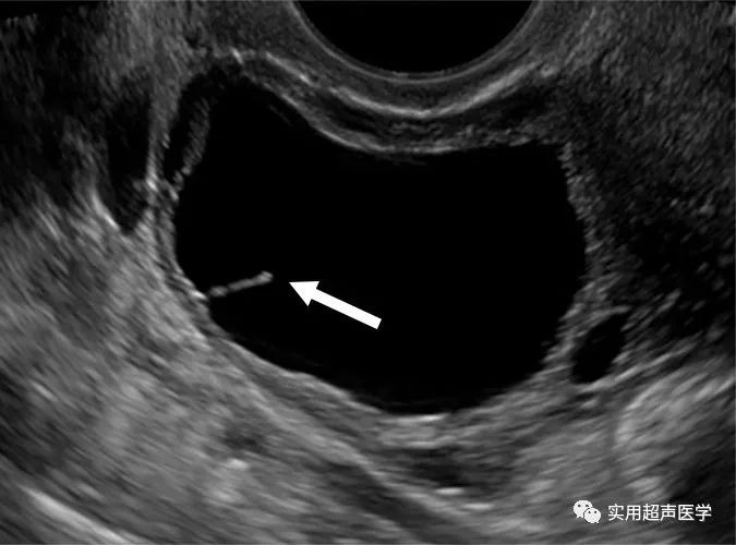
28岁女性,子宫异常出血和良性卵巢囊肿。超声图像显示偶然检测到的左卵巢单房囊肿,伴有不完全分隔(箭头)。对于适当的 O-RADS 分类,该病变被认为是非简单囊肿,并且没有不规则壁。由于尺寸为 4.2 厘米,评估为 O-RADS 类别 2。对于这名绝经前妇女,在 8 周时进行随访超声检查,并显示出与良性过程一致的完全间隔分辨率.
所有小于 10 cm 的单纯性和非单纯性囊肿均被视为 O-RADS 2,其管理基于病变大小和绝经状态。当囊肿测量 10 cm 或更大时,进行 O-RADS 3 评估,并应考虑 MRI 检查进行评估。此外,当内壁不规则(定义为囊囊腔高度小于3mm)时,任何没有实性成分的单房囊肿均为O-RADS 3,无论内容或绝经状态如何。由于缺乏固体成分和分隔,CS不用于对这些病变进行分类。
无固体成分的多房囊肿—与无实性成分的单房囊性病变一样,无实性成分的多房囊性病变的第一个特征是内壁和隔膜(光滑与不规则)。如果其中一种不规则,则认为病变为O-RADS 。但是,如果内壁或隔膜光滑,则应随后评估CS。当看到非常强的血流(CS 4)时,评估值为O-RADS 4。当流量小于非常强(CS 1-3)时,大小成为一个考虑因素;10 cm 的临界值用于将病变分类为 O-RADS 3(< 10 cm)与 O-RADS 4(≥ 10 cm)。绝经状态不影响这些囊肿的治疗。
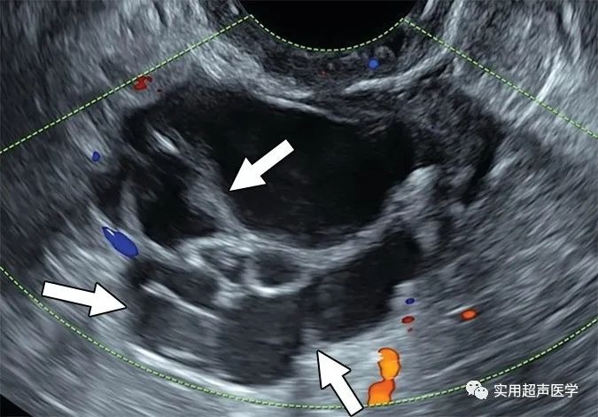
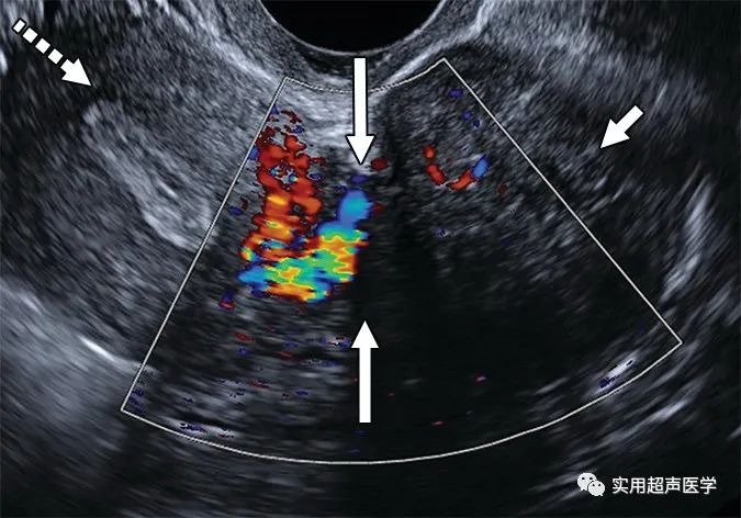
68岁女性腹胀,左卵巢交界性浆液性囊腺瘤。彩色多普勒超声图像显示多房囊肿,内壁和分隔不规则(箭头),无实性成分,符合卵巢-附件报告和数据系统 (O-RADS) 4 类病变。当多房囊肿的内壁或分隔不规则时,代表内部血管和大小的颜色评分 (CS) 无助于 O-RADS 风险评估。
42岁女性,伴有继发性不孕症和良性浆液性囊腺瘤。彩色多普勒超声图像显示偶然发现的多房囊肿,内壁光滑,单个平滑完全分隔(箭头)。大小和 CS 是准确进行 O-RADS 分类的重要参数。对于没有固体成分的多房囊肿,CS 只需分类为大于极强血流 (CS 4) 与任何低于极强血流量 (CS 1-3) 的评分。该病变具有中等血流 (CS 3),最大尺寸为 5.2 cm (< 10 cm),属于 O-RADS 类别 3。
具有固体成分的单房囊肿—对于具有实性成分的单房囊肿,O-RADS类别4与5类的区分基于状突起的数量,状突起是实体成分的特定亚型,突出囊腔至少3mm,三面被液体包围。CS 不影响这种区别。具有4-7个状突起或任何大小的实性成分不符合状投影标准的病变分类为O-RADS 5。然而,存在多个或更多状突起会增加ROM,因此病变被归类为O-RADS 5。
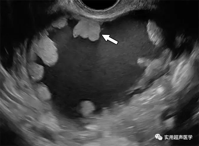
35岁女性,右下腹胀满,边缘性浆液性囊腺瘤。超声图像显示单房囊肿,有多个状突起(箭头)。评估是卵巢-附件报告和数据系统 (O-RADS) 类别 5。状突起代表突出到囊肿腔的固体成分的亚型,高度至少为 3 mm,三面被液体包围。状投影在其与附着的壁或隔膜的界面处具有锐角,而固体成分呈钝角并呈现无柄。状投影的数量有助于O-RADS风险类别评估,四个或更多状投影赋予更高的恶性肿瘤风险。
22岁女性,患有混合性生殖细胞肿瘤和右盆腔疼痛。彩色多普勒超声图像显示右卵巢单房囊肿,无柄的血管化实体成分(箭头),因此不符合状投影标准。评估是O-RADS类别4。
含有固体成分的多房囊肿—具有固体成分的多房囊肿也被分类为 O-RADS 4 或 5。然而,这种区别是基于CS。1或2的较低CS(无流量或最小流量)评估为O-RADS 4,较高的CS为3或4(中度至极强流量)评估为O-RADS 5。
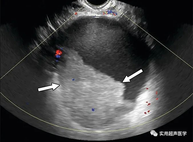
67岁女性,彩色多普勒超声图像显示多房囊性病变,伴有大而实心的血管化成分(箭头),被证明是高级别浆液性输卵管癌。颜色评分 (CS) 对于具有实体成分的多房囊性病变的适当卵巢-附件报告和数据系统 (O-RADS) 分类非常重要。彩色多普勒成像显示非常强的血流 (CS 4),符合 O-RADS 5 类病变。大小与具有这些特征的病变的风险分层无关。状投影和非状实性成分之间的区别与多房囊性病变的 O-RADS 分类无关。
生理性液体。然而,如果子宫前倾或前屈,超过此量的液体延伸至子宫底以上时,则定义为腹水。如果子宫呈后倾或后屈,则子宫上部和前方(膀胱和子宫之间)的液体被认为是腹水。
当腹水原因不明(例如,不能归因于全身性或非恶性附件病因)时,其他评估为O-RADS 3或4的病变应升级为O-RADS 5。然而,如果病变为O-RADS 1或2,应考虑其他可能的原因,如液体超负荷、肾功能损害和肝硬化。该报告可能描述腹水的内部内容,但这并不影响风险分层。
腹膜增厚和结节
对于低危或中危(O-RADS 3或4)附件病变,腹膜结节也将风险评估升级为O-RADS 5。腹膜结节定义为局灶性或弥漫性结节,或腹膜反射或沿肠浆的不规则增厚。其他恶性和炎症性或感染性病因(例如粘液性胃肠道恶性肿瘤和结核病)可能看起来相似,然而,在没有此类其他原因的证据的情况下,谨慎的做法是将发现归因于附件过程。
伪像
通过阴超可以显示附件细节。经腹超声检查可作为补充检查进行,也可作为唯一技术进行,原因与卵巢位置高、习惯、病变面积大或患者舒适度有关。当经阴超和经腹入路均不是最佳时,经直肠入路可能会有所帮助。应以适当的速度通过卵巢和病变获得评估。详细的完整评估对于确保识别壁不规则性、分隔和状突起数量至关重要。检查附件区域,包括道格拉斯窝、宽韧带和输卵管,检查是否有局部区域异常,包括腹水和腹膜结节。
优化灰度和彩色多普勒成像技术对于病变表征至关重要。对于灰度成像,优化时,适当的整体增益、焦点区域和缩小的扇区宽度可改善细节。对于彩色多普勒成像,总增益、小色盒、适当的速度尺度(通常低至4cm/s)和脉冲重复频率(范围,3-6MHz对于确保不会遗漏病变内的低血流量非常重要。
图片30岁孕妇在妊娠13周5天时接受颈项透明层试验,发现单房囊肿有实性成分。具有更大的彩色框(大箭头)的初始彩色多普勒超声图像显示固体成分(小箭头)中没有流动。这可能会导致误解为凝块等碎片。

同一患者彩色多普勒超声图像的彩色框(大箭头)显示确认实体组织的血流(小箭头)。浆液界性肿瘤在胎龄18周时切除。
28岁女性,因出血性囊肿而疼痛。彩色多普勒超声图像显示卵巢实质周围血流(箭头),可确保进行充分的色流评估,增加诊断信心。当进行彩色多普勒成像时,必须在盒子内可视化一些颜色,以确保进行充分的技术评估。
36 岁女性,彩色多普勒超声图像显示子宫(虚线箭头)和实心病变(短实心箭头)之间的桥接血管(长实心箭头),证实外生性浆膜下平滑肌瘤,而不是卵巢病变。由于最常见的附件实性肿块是外生性肌瘤,因此当未看到单独的卵巢且怀疑卵巢病因时,谨慎的做法是寻找与子宫的联系。
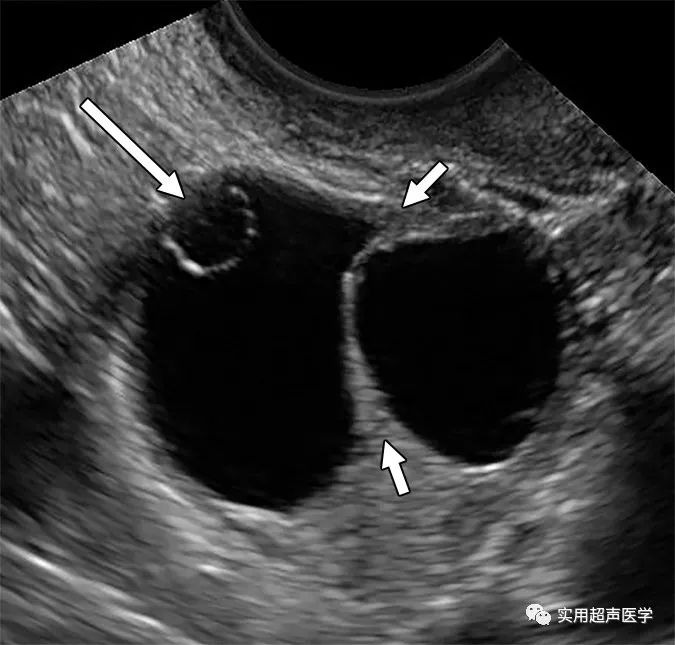
22岁女性,伴有继发性闭经。超声图像显示囊肿内囊肿外观或子囊肿(长箭头),代表相邻卵巢实质内单独卵泡的部分体积平均。发现不应与多房囊肿混淆。将两个相邻的卵泡或囊肿与单个纵隔囊肿区分开来也可能具有挑战性。可疑隔膜两侧的卵巢组织(小箭头)达到峰值(八字形征)可确认邻近卵泡并排除真正的纵隔囊肿。
区分固体和囊性物质可能存在问题。彩色多普勒血流的存在可确认实体组织,而无血流可能代表碎屑或坏死组织,且帮助较小。区分固体材料和碎屑的另一个技巧是对相关区域施加温和的传感器压力,随后的内部运动(“抖动”征)提示碎片,例如血凝块。如有疑问,应将病变分类为实性病变。
当发现偏心性卵巢病变时,推力试验可以确定换能器探头压力是否将结构与卵巢分开。可能需要双手按压腹部,探头在适当的平面上推动病变和卵巢之间,以确认卵巢与卵巢旁的位置。此外,当偏心病变为实心时,勤奋寻找与子宫的桥接组织和血管有助于区分实性卵巢病变和外生性浆膜下平滑肌瘤。
另一个潜在的陷阱是将子囊肿误认为是多房囊肿。欣赏圆形和周围卵巢实质内的位置可排除纵隔病变。
卵巢癌具有较低的发病率、 较高的致死率,而 O-RADS 通过分类能够评估患者发病风险并系统管理患者,从而在一定程度上提升卵巢癌患者的远期存活率。O-RADS 分类对恶性肿瘤与良性肿瘤的敏感度、准确率都高于特异度, 而且在一些未做手术的病例中,随访复查发现部分肿瘤 消保持大小不变甚至消失。O-RADS 2 类属于良性肿瘤, 比较适合保守治疗,进而减少手术对患者身体造成的创伤,O-RADS 4 类、5 类为恶性肿瘤可能性大,需要进行手术治疗,提高生存率,O-RADS 3 类虽然为良性肿瘤居多,但因其体积较大,会造成临近脏器的压迫,可视情况进行手术切除。超声O-RADS 分类系统在诊断卵巢良恶 性肿瘤具有较高的诊断效能,值得临床推广应用。

