肝内的囊性回声并不一定都是肝囊肿,还有可能是这种转移瘤!
https://mp.weixin.qq.com/s/R4uM0L5F8myhd2sF-H4JNw
病例回顾
男, 46 岁, 前年 10 月至我院耳鼻喉科门诊就诊,行鼻咽镜提示鼻咽部新生物,活检示:非角化型鳞状细胞癌。
在我院行放化疗后,于去年 12 月复查腹部彩超示脂肪肝,于今年 8 月复查腹部彩超示脂肪肝,肝内可见厚壁无回声,提示厚壁囊肿,结合病史,考虑转移性肝 Ca 可能性大,建议结合增强影像学检查。
增强 CT 所示
肝实质内见多发团块状结节状稍低密度影,部分融合成片,增强扫描动脉期病灶边缘可见强化,结合病史,考虑转移性肿瘤可能性大。
超声所示
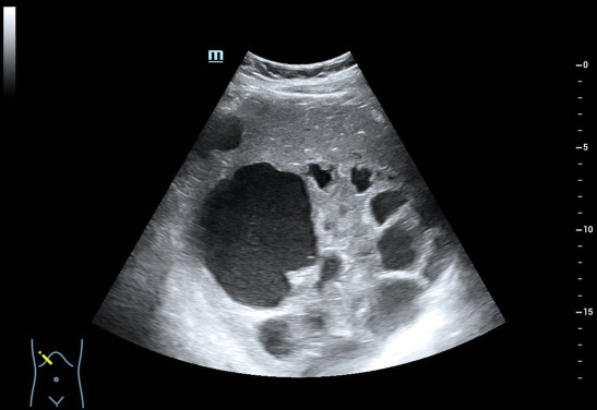
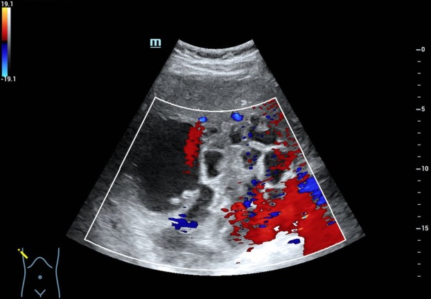
肝脏体积增大,右叶斜径约 19.0cm ,肝内可见多个厚壁无回声,大的位于肝右叶,大小约 15.5cmx13.9cm 的囊实性结节,内可见粗大分隔及壁结节,肝内胆管未见扩张。CDFI: 囊肿周边可见少许血流信号(图 1-5 )。

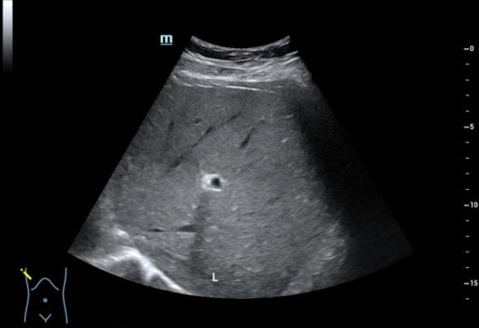
图 1 前年肝脏超声提示脂肪肝
图 2 去年 8 月肝内可见一巨大囊实性结节,内可见粗大分隔、厚壁及壁结节
图 3 CDFI: 囊肿周边可见少许血流信号

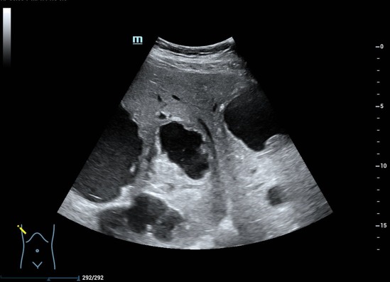
图 4 囊肿周边可见厚壁,类似「 面包圈 」征
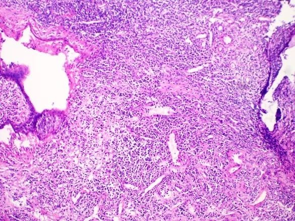
病理所示
结合病史,符合鼻咽癌转移(图 6-7 )。

图 6 鼻咽癌肝转移镜下表现

图 7 鼻咽癌肝转移镜下免疫组化表现
讨论
肝转移瘤比较常见,但囊肿型肝转移瘤较少见,发病率仅占肝转移瘤的 1.5% 。
肝脏囊肿型转移瘤在我国报道最多的为鼻咽癌、淋巴瘤和囊腺瘤[1-2]。
转移性肝癌内部发生囊性变的也比较多见,主要是因为肿瘤在长大过程中,内部出现液化坏死,或是肿瘤内部破裂出血,或是肿瘤自身具有分泌功能,或是肿瘤介入治疗后内部出现液化坏死 [3]。
有的工作经验较少的医生在没有询问病史的情况下,突然看到肝脏囊性结节,会误认为其是肝囊肿而延误患者治疗。
由于现代超声设备性能及分辨率的极大提高,超声医师诊断技术的进步,能较易发现直径 <1.0cm 的肝转移性瘤结节,而及早发现鼻咽癌治疗后是否肝转移,对鼻咽癌的准确分期、治疗方案的选择以及对预后的评估都具有重要意义。
早期评估及治疗使部分晚期转移的患者能获得较好的疗效,延长其生存期。
笔者发现另一例食管下段鳞癌肝转移瘤的患者,转移瘤也呈现厚壁囊性结节(图 8-9 ),推测可能鳞癌肝转移的瘤结节内容易出现液化坏死,在肝脏以厚壁囊肿多见。

图 8 肝左外叶可见一食管下段鳞癌肝转移瘤,呈厚壁囊肿形

图 9 食管下段鳞癌肝转移瘤 CDFI 示结节周边可见少许血流信号
鉴别诊断
肝囊肿
良性肝囊肿多表现为薄壁,孤立,散在;而恶性囊肿型肝转移瘤表现为厚壁,壁结节,液平及囊内厚分隔。在鉴别诊断上询问病史尤为重要。
包虫病
包虫病的患者有牧区游历或生活史,单囊型包虫病囊壁不清晰或有「 双壁征 」,用探头震动囊肿时,在暗区内可见浮动的小光点,称为「 囊沙 」影像。
多子囊型包虫病,囊有多重隔膜;囊隔膜产生 「 轮状 」结构(车轮征),子囊可表现为「 圆花窗 」或「 蜂巢 」结构(蜂房征)或在母囊暗区内可呈现多个较小的球形暗影及光环,形成「 囊中囊 」征[4]。
肝脓肿
肝脓肿液化坏死时,团块内亦出现不规则液性暗区。在鉴别诊断上,肝脓肿患者有感染的病史,比如患者有发烧,白细胞升高的表现。
鉴别困难时,超声引导穿刺尤为重要,肝脓肿内的坏死灶可以抽出脓液,而转移性肝肿瘤穿刺病理检查可以查出癌细胞。

