胃及十二指肠标准切面
依据胃的解剖特点,我们按胃体表投影将胃充盈检查分为五组切面,五组切面依次为贲门切面,胃底切面,胃体切面,胃窦及球部降部水平部切面,水平段穿越肠系膜上静脉上动脉与腹主动脉间隙处切面。
第一组贲门切面
受检者平卧位我们将探头置放剑突区以肝左叶及腹主动脉作为寻找贲门的界面原位旋转探头找到食道下段及与贲门连接处轻摆探头将贲门喇叭口清晰显示再将探头向左上翘此时胃底部也可以显示所以第一组切面我们称之为主看贲门附看胃底。



第二组胃底切面
受检者平卧或稍左卧位我们先在左肋间寻找脾以脾作为寻找胃底部界面胃底部区分是以贲门口为界限贲门以下部位就是胃底该切面为一倒C状近场与胃大弯连接远场与贲门连接在胃底切面也可以看到贲门因此我们称之为主看胃底附看贲门


受检者右卧位我们降探头置放左肋下朝左侧上翘以脾下缘作为寻找胃底短轴界面。

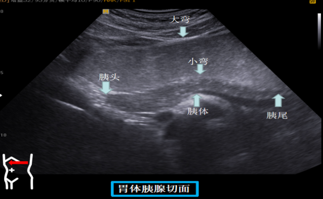
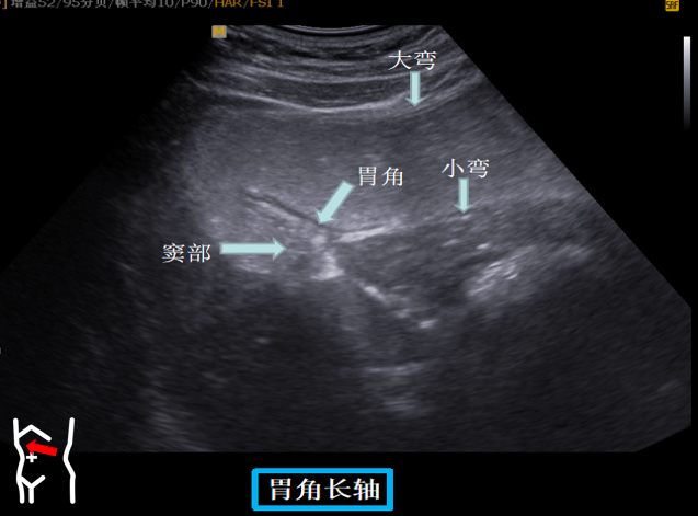
第三组胃体切面
患者取右侧卧位探头从左肋缘下朝左上方翘找出脾下缘以其为起点原位逆时针扇扫依次可见胃底贲门胃体长轴短轴胃体胰腺胃角长轴胃角短轴胃角切迹是胃体与胃窦分界这组切面同时可以观察到胃窦有时还可以观察到球部。





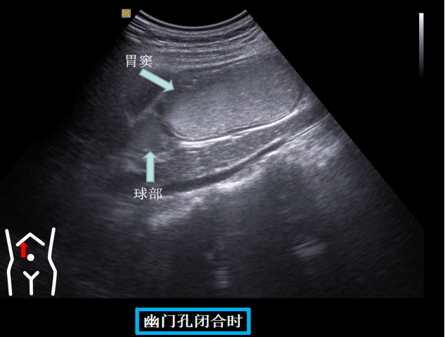
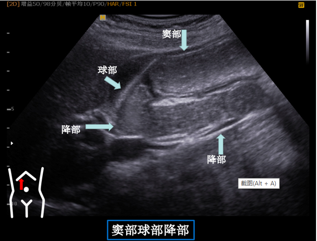
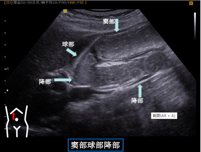
第四组胃窦球部切面
患者从右卧位改成平卧此时头也随着患者改变体位而由横切改为纵切在脐孔与右肋缘连线处扫出胃窦幽门管幽门孔球部降部水平部










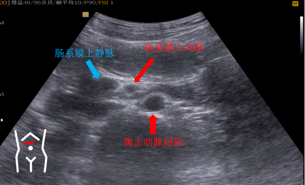
第五组切面
十二指肠水平段穿越肠系膜上动脉上静脉与腹主动脉间隙切面。




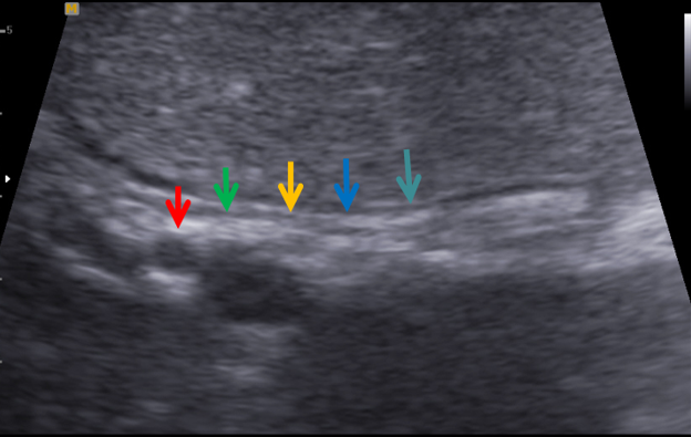
胃壁三强二弱结构(胃小弯)

胃壁三强二弱结构(大弯)

五组切面优点
1五组切面是依据胃在人体体表投影而制定。
2.简单易记。
3.在各组切面中可以相邻脏器作为我们的寻找该切面的界面。
4.五组切面在扫查主切面时同时也可以再次看到上一组切面,同时也附带下一组需要观看切面,有着承前启后作用。
5.每组切面都可以在几组切面扫查时重复观看,这样大大减少漏诊几率。
6.看胃主要就是观看胃壁结构是否有异常,那么五组切面既可以将胃壁结构分开又可将其连贯起来。
