不同时期的文献对右心声学造影,阳性分级的诊断标准有不同。正好2022年国内发布了右心声学造影的专家共识,咱们就有了一个可靠的参考标准。
右心声学造影诊断标准:
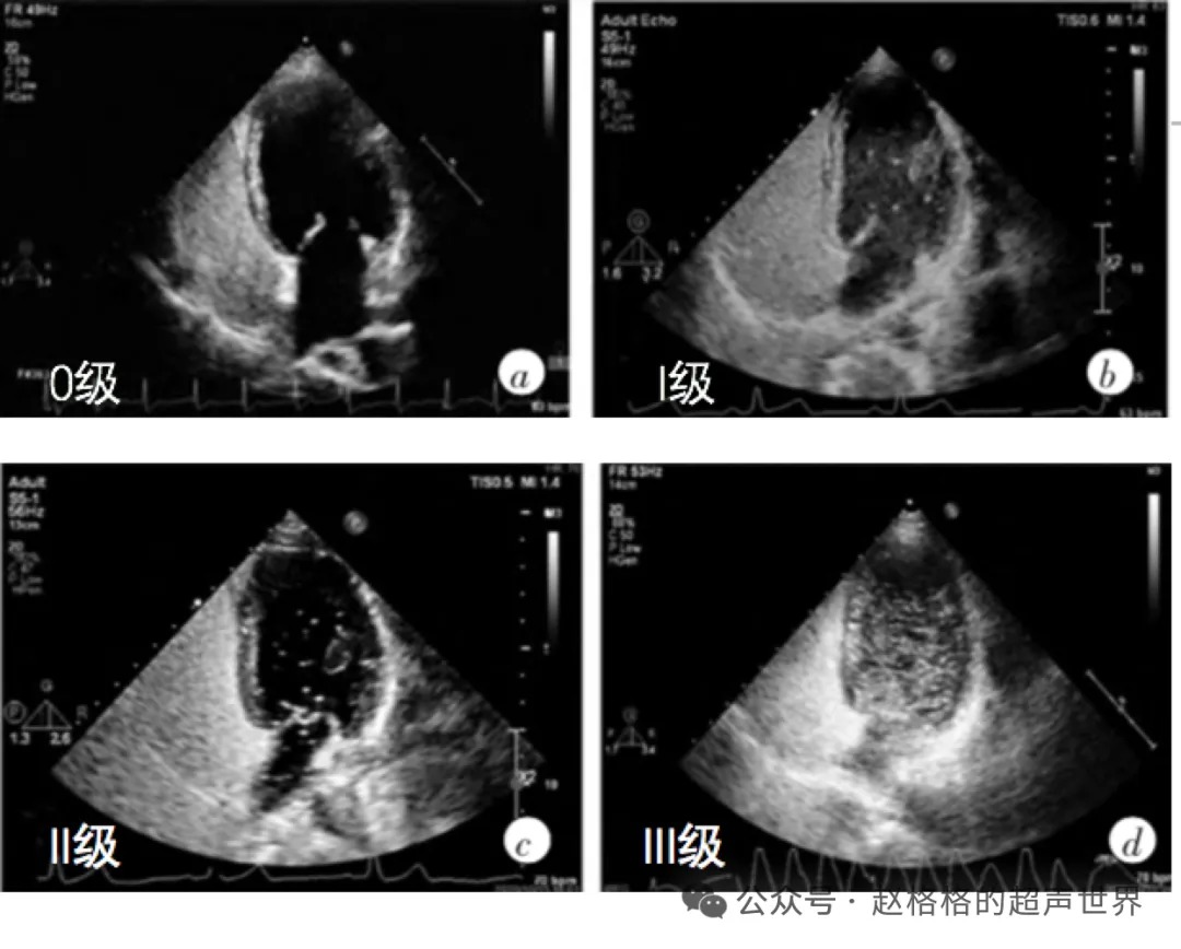
以静止单帧图像左心腔内出现的微泡的最大数量,将分流程度分为4级。
0 级:左心腔内没有微泡,无 RLS;
I级:左心腔内 1~10 个微泡/帧,为少量 RLS;
II级:左心腔内 10~30 个微泡/帧,为中量 RLS;
III级:左心腔内>30个微泡/帧,或左心腔几乎充满微泡,心腔浑浊,为大量 RLS

注意事项
推荐先 Valsalva 动作后再注射造影的顺序
先注射造影剂后进行 Valsalva 动作的顺序,会导致 Valsalva 动作产生的右心房-左心房压差的顶峰与造影剂微泡浓度顶峰不一致,且当患者存在肺动静脉瘘,则会干扰房水平来源微泡的判断。
心动周期并不是判断心内和肺内分流的唯一决定因素
由于个体间存在血流动力学、呼吸和心脏功能的不同,因此3~6 心动周期并不是区分心内和肺内的唯一标准,需结合造影显影特征“ 一 过 性 ”还 是“ 持续性 ”来综合判断。
ASD 与 PFO 两者的右心声学造影特征是一致的
ASD与PFO 两者的右心声学造影特征是一致的,在排除存在明确ASD或房间隔膨胀瘤的情况下,右心造影阳性心内分流可间接诊断 PFO。
可能存在生理性分流
部分健康人群可以存在生理性的肺循环来源微泡,1~2 级(<30 个微泡)肺内分流不建议下诊断结论。
注射器尾端竖起
虽然目前关于右心声学检查导致的空气栓塞不良事件罕见,但为了尽可能降低风险,在振荡生理盐水时可使用<1 mL的空气,以及在注射时将注射器尾端竖起,将任何大的、未溶解的气泡保留在注射器内,不注入静脉系统。
操作视频链接:
https://mp.weixin.qq.com/s/CbUEHpuPUK8WsW2gIoquPA
参考文献:卵圆孔未闭超声心动图及右心声学造影临床操作规范
相关链接:
如何判断右心声学造影的分流来源于心内还是肺内
https://mp.weixin.qq.com/s/RikhBiaik27MkQ1VYg6iuA
最容易开展的心超新项目--右心声学造影
https://mp.weixin.qq.com/s/WVcpIqtwyTF537-zbF53cg
