很多患者朋友来医院,主诉头痛、头晕,或者肢体无力、眼前一过性黑朦。脑血管有没有问题是我们首先要考虑的问题,传统的经颅多普勒超声(transcranial Doppler,TCD)是医生和患者经常选择的一项常规检查手段。
2006年,首都医科大学附属宣武医院的华杨教授等人发布了《经颅多普勒超声操作规范及诊断标准指南》,介绍并规范了TCD的扫查方式和诊断标准,使得这一技术在临床全面展开,并成为临床常用的一项探测脑血管的影像学方式。
为了更进一步地探测脑血管的情况,经颅彩色多普勒血流成像(transcranial color coded Doppler,TCCD)也在临床得到了广泛应用。2016年发布的《中国脑血管超声临床应用指南》就介绍并推荐了TCCD的使用,且对TCD和TCCD做了比较说明(图1);总之,就是TCCD更加直观、准确,也能给医生提供更多的信息。
图1
TCD只能提供简单的频谱图(如图2)
图2
TCCD(图3)不仅能够得到TCD那样的频谱图,还能直观看到血管的走行和血流的状态,是可视化医学的一个明显特征。
图3a

图3b
图3c
另外,大脑动脉血供(图4)不仅要重视颅内动脉供血情况,也需要关注颅外颈部段血管情况。
图4
TCCD和颈部血管彩超一站式检查(颈颅一体化检查),可以节省患者的就诊时间和医疗成本,并达到更佳的诊断效果。
病例分享
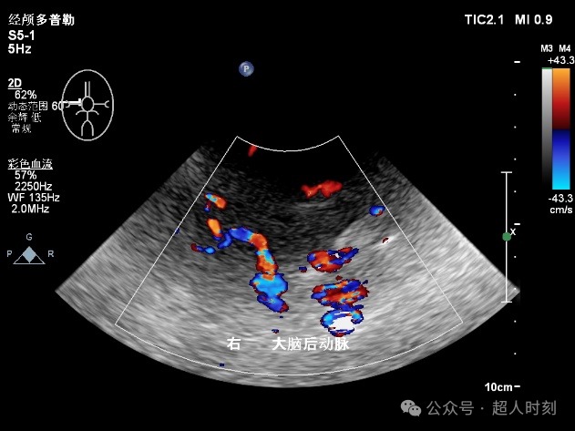
患者,男性,78岁,因“反复头痛头晕‚伴右眼黑朦1+年,肢体麻木偶感上肢无力6+月”入院。颈动脉彩超:右颈内动脉明显狭窄(狭窄率70%-99%),双侧颈总动脉多处狭窄(狭窄率<50%)。TCCD:颅内多支动脉狭窄(见图5)。

图5a 右颈内动脉颈段粥样斑块伴狭窄

图5b 右颈内动脉颈段血流速度增快频谱图

图5c 右大脑后动脉狭窄

图5d 右大脑后动脉血流增快频谱(VP:140cm/s)

图5e 左大脑中动脉狭窄频谱(VP:178cm/s)

图5f 右大脑前动脉狭窄频谱(VP:263cm/s)

图5g左颈内动脉虹吸部狭窄血流频谱(VP:186cm/s)
图5h 右颈内动脉虹吸部及大脑前动脉周围侧枝形成动态图,类似烟雾病的颅底细小侧支
TCCD 临床适用范围
1. 颅内动脉狭窄或闭塞的诊断;
2. 急性缺血性卒中诊断和治疗中的应用:TCCD 是无创、有效的颅内大血管检查方法,可以检测颅内血管狭窄/闭塞部位,了解侧支循环建立情况,同时操作方便,易于床旁、反复多次实时操作,以监测治疗期间血管再通情况;因此,其对急性卒中的诊断和治疗都具有重要指导作用。
