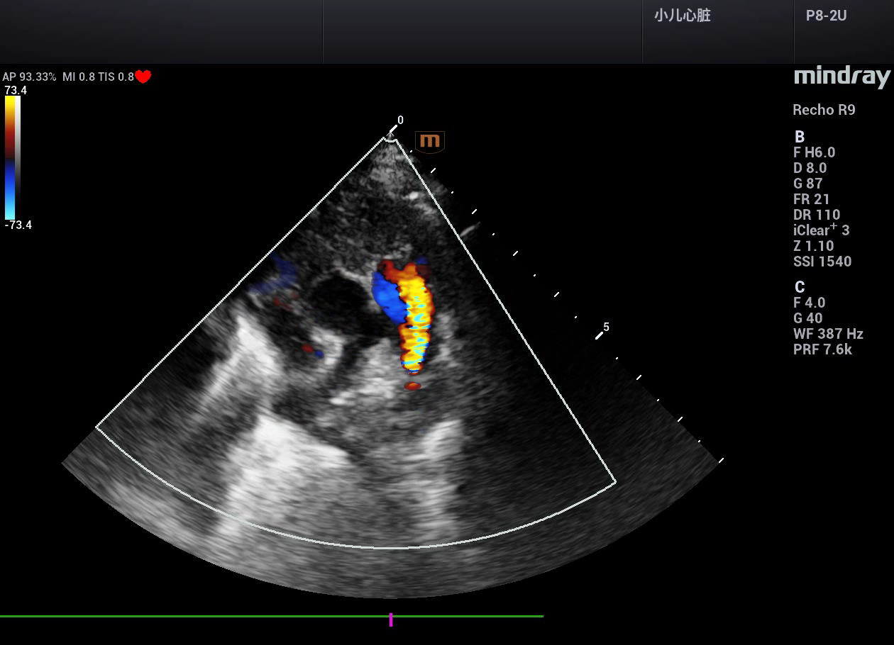
病例,婴儿动脉导管未闭(PDA),迈瑞Recho R9,2024年3月
会顶医生
2024-09-09知识连接能力的桥梁,知识连接能力的桥梁,知识连接能力的桥梁
关注
病例,婴儿动脉导管未闭,迈瑞Recho R9,2024年3月。
迈瑞心脏超声,普及超声事业的高质量发展!
文章推荐
肝段,肝内管道的分布规律
会顶医生
0评论
03-05
美国放射学会ACR官网,对肝脏的区域和节段解剖学概述
会顶医生
0评论
03-03
指南分享 | 2017版ACR肝脏超声造影LI-RADS指南(中文版)
会顶医生
0评论
03-03
病例,婴儿动脉导管未闭(PDA),迈瑞Recho R9,2024年3月
提交
转载
0