会顶医生
2024-06-15知识连接能力的桥梁,知识连接能力的桥梁,知识连接能力的桥梁
关注
病例集,室间隔穿孔、肥厚型心肌病、换瓣、风心、先心等,迈瑞心脏Recho R9,2024年在广西
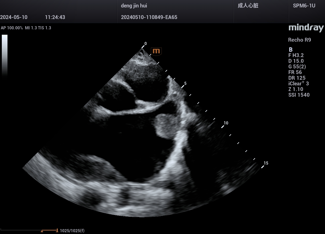
病例,急性心肌梗死,并发室间隔穿孔,迈瑞心脏彩超鲲鹏Recho R9,2024年5月
来源玉林市第一人民医院超声科,迈瑞超声鲲鹏实现超声事业高质量发展
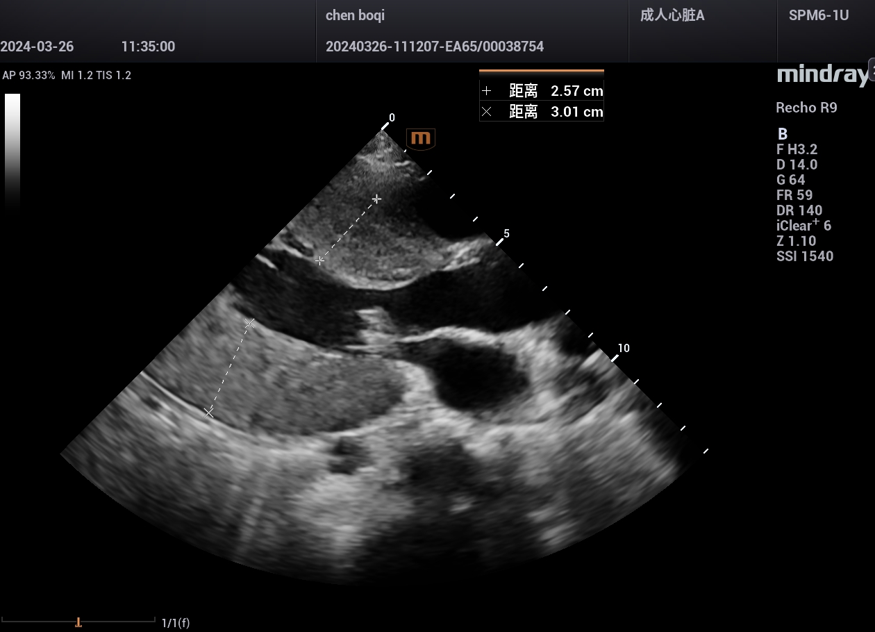
病例,肥厚梗阻性心肌病,10岁小孩,典型病例。迈瑞Recho R9,2024年3月
高端心脏超声迈瑞Recho R9,实现县县超声事业的高质量发展!
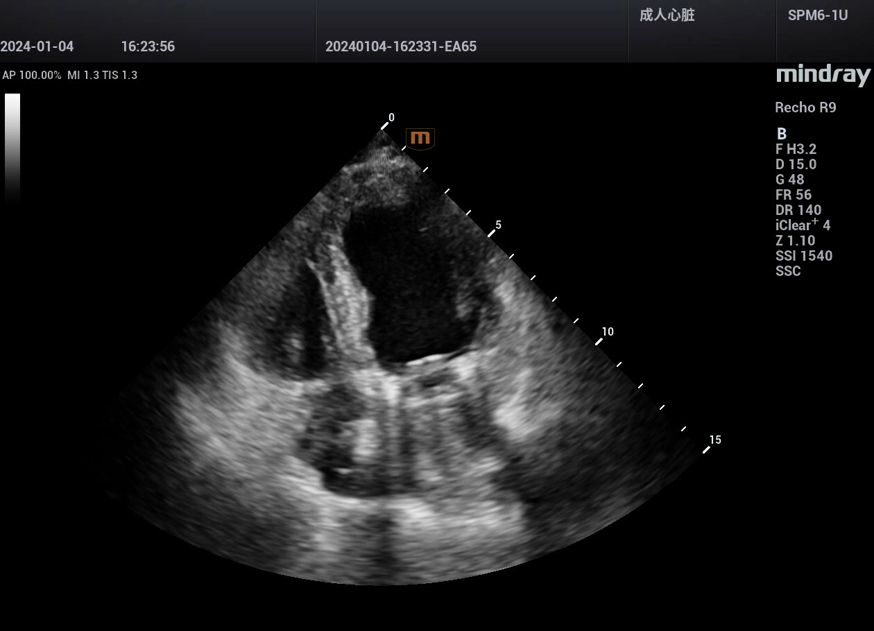
病例,主动脉瓣置换术,有瓣周漏,中山一院广西医院,2024年5月
www.jinrichaosheng.com
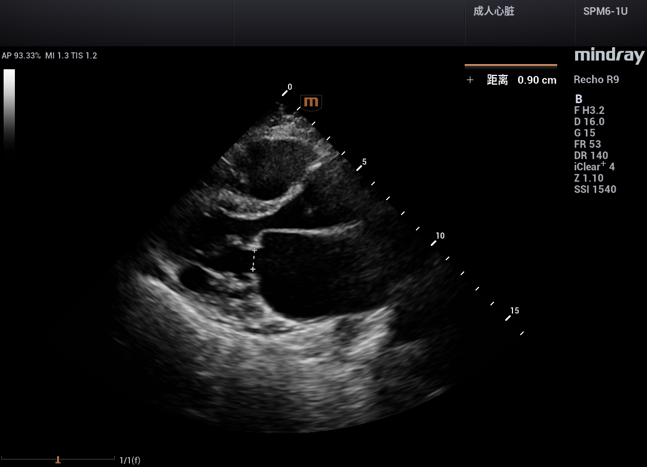
病例,二尖瓣换瓣术后,心脏超声图像,来源广西中医药大学第一附属
迈瑞鲲鹏Recho R9,助力实现超声事业高质量发展
病例,风湿性心脏瓣膜病(风心病),迈瑞心脏彩超鲲鹏Recho R9,2024年5月
来源玉林市第一人民医院超声科,迈瑞超声鲲鹏实现超声事业高质量发展
病例,风湿性心瓣膜病(风心病),并左心房血栓形成,迈瑞心脏彩超鲲鹏Recho R9,2024年5月
来源玉林市第一人民医院,迈瑞心超鲲鹏,助力实现超声事业高质量发展
病例,风湿性心脏病:二尖瓣狭窄、城墙样改变,广西中医药大学第一附属医院
来源广西中医药大学第一附属医院,国内首台心脏专用彩超
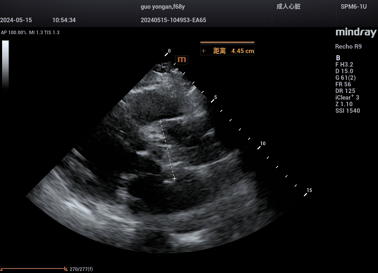
病例,房间隔缺损(ASD),广西中医药大学第一附属医院,2024年在广西
迈瑞鲲鹏Recho R9,助力实现超声事业高质量发展
返回首页
转载